두개저종양을 코를 통한 내시경으로 제거하는 경우 ‘후각 저하’가 나타날 수 있는데, 이 후유증이 고령 환자에서 두드러진다는 연구결과가 발표됐다.
두개저내시경수술을 받은 환자를 대상으로 한 연구에서 50세 미만 환자는 수술 전후 후각 기능에 뚜렷한 변화가 없었던 반면 50세 이상 환자는 수술 후 후각 기능이 유의하게 떨어졌다.
분당서울대병원 이비인후과 조성우 교수팀(신경외과 황기환 교수)은 2021년부터 2023년까지 분당서울대병원에서 동일한 방식으로 두개저내시경수술을 받은 환자 43명의 수술 전후 후각 기능을 평가했다.
‘후각인지검사(CC-SIT)’로 객관적 후각 능력을, ‘후각설문(OQ)’으로 주관적 후각 능력을 측정했다.
여기서 후각인지검사는 피검사자에게 냄새를 맡게 한 후 어떤 냄새인지 보기에서 선택하도록 하는 검사이며, 후각설문은 응답자 스스로 냄새를 얼마나 잘 맡는지 진술하는 방법이다.
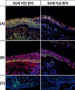
[그림] 50세 미만 환자(좌)와 50세 이상 환자(우)의 세포 형광 염색 결과.
냄새를 감지하는 세포(A)와 후각 재생을 돕는 세포(B)는 형광으로 물든 면적이 넓을수록 세포 수가 많음을, S100(C)은 형광색이 강할수록 단백질의 발현 강도가 높음을 의미한다.
그 결과, 50세 이상 환자(30명)는 수술 전과 비교해 수술 6개월 후 후각인지검사(8.3±1.3→7.0±2.0)와 후각설문(39.3±7.1→28.1±10.3) 점수 둘 다 유의하게 낮아졌다. 반면 50세 미만 환자(13명)의 경우 두 점수 모두에서 뚜렷한 변화를 보이지 않았다.
주목할 점은 실제 수술 환자의 후각 점막 세포를 직접 분석함으로써 나이와 세포 특성이 수술 후 후각 기능과 어떻게 연관되는지 살폈다는 것이다.
세포를 형광 물질로 염색한 뒤 현미경으로 관찰한 결과, 나이가 많을수록 냄새를 감지하는 세포와 후각 재생을 돕는 세포 수가 적은 것으로 나타났다.
이는 고령 환자의 경우 재생을 담당하는 세포가 부족해 젊은 환자와 같은 수준의 자극을 받더라도 회복이 더 어려움을 시사한다.
또한, 후각 신경을 보호하는 세포가 만들어내는 단백질(S100)의 발현 강도가 높을수록 수술 후 후각 기능이 더 잘 유지되는 것으로 확인돼 S100이 후각 저하 위험을 가늠하는 지표로 활용될 가능성도 제시됐다. S100이 수술적 자극으로부터 후각 신경을 지키는 일종의 방패 역할을 하는 셈이다.
조성우 교수(교신저자)는 “이번 연구는 환자의 나이가 두개저내시경수술 후 후각 저하에 영향을 미치는 독립적인 인자임을 규명했다는 점에서 의의가 크다”며, “수술 환자의 후각 기능을 최대한 보존할 수 있도록 나이에 따른 맞춤형 치료 전략을 개발하는 데 기여할 것”이라고 말했다.
이번 연구는 분당서울대병원 및 한국연구재단 신진연구자 지원사업의 지원으로 수행됐으며, 비과학 분야 국제학술지 ‘Rhinology’에 온라인 게재됐다.
한편 두개저는 뇌를 감싸고 있는 머리뼈의 바닥 부위로, 안쪽 깊숙이 위치할 뿐만 아니라 주변에 중요한 뇌혈관과 뇌신경이 밀집해있다. 따라서 종양이 생기면 병변에 안전하게 접근하는 것 자체가 어려워 치료가 매우 까다롭다.
과거에는 머리를 여는 개두술로 뇌를 살짝 젖히거나 밀어낸 상태에서 두개저종양을 제거했다.
하지만 뇌를 움직여 얻을 수 있는 공간이 제한적이라 수술 시야가 좁고, 머리 위쪽에서 종양이 있는 아랫부분까지 내려가려면 주요 뇌혈관·신경을 지나칠 수밖에 없어 정상 뇌조직이 손상될 위험이 컸다.
이에 최근에는 코에 내시경을 넣어 두개저종양을 제거하는 ‘두개저내시경수술’이 널리 쓰이고 있다. 뇌의 밑바닥과 코의 윗부분이 맞닿아 있어 코를 통해 뇌에 도달하는 것이 가능하다.
두개저내시경수술은 기존의 개두술에 비해 넓은 시야를 확보할 수 있으며 머리뼈 아래에서 위쪽 방향으로 종양에 접근하기 때문에 뇌를 직접 건드리지 않아 정상 뇌조직의 손상을 최소화할 수 있다.
그러나 콧속에서 내시경을 비롯한 각종 수술기구를 조작하는 만큼 후각 신경이 손상되면서 ‘후각 저하’가 발생할 수 있다. 실제로 후각 신경은 내막, 외막 등 보호막이 없어 물리적 자극에 취약하다.
대신 후각 신경을 보호하는 세포가 있는데, 이 세포 수는 나이가 들수록 감소해 후각 신경이 손상되기 쉬워지는 것으로 알려져 있다.
문제는 두개저내시경수술 시 콧속 뼈 일부를 절제하는 등 수술기구가 드나들 통로를 마련하는 방식에 따라 후각 신경이 자극받는 정도가 달라짐에도 불구하고, 그간의 연구들은 수술 방식을 통일하지 않은 채 환자들의 후각 기능을 비교했다는 것이다.
이로 인해 환자마다 수술 후 후각 저하 수준이 다른 이유가 수술 방식 때문인지 나이 때문인지 구분하기 어려운 한계가 있었다.
[메디컬월드뉴스 김영신 기자]
Copyright ⓒ 메디컬월드뉴스 무단 전재 및 재배포 금지

