"고통 없는 삶 시작" 손흥민 방출 위기 몰았는데…아르헨 FW, 어떻게 이런 일이→인공 고관절 수술 받았다 '깜짝 근황 공개'

실시간 키워드

2022.08.01 00:00 기준

"고통 없는 삶 시작" 손흥민 방출 위기 몰았는데…아르헨 FW, 어떻게 이런 일이→인공 고관절 수술 받았다 '깜짝 근황 공개'

엑스포츠뉴스 2026-04-29 16:07:12 신고

3줄요약


(엑스포츠뉴스 나승우 기자) 과거 토트넘 홋스퍼에서 손흥민과 선의의 경쟁을 펼쳤던 에리크 라멜라가 은퇴 후 근황을 전했다.

영국 데일리메일은 29일(한국시간) "토트넘의 인기 스타가 11년간의 고통 끝에 33세 나이로 은퇴한 후 '새로운 고관절' 수술에 대한 근황을 전했다"고 보도했다.

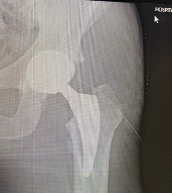
매체에 따르면 라멜라는 최근 자신의 사회관계망서비스(SNS)를 통해 병원 사진과 엑스레이 이미지, 수술 직후 짧은 영상을 공개했다.

수술 후 상태를 전한 라멜라는 "조금 아프지만 새로운 인공 고관절 덕분에 이제 고통 없는 삶을 시작할 수 있기를 바란다"며 "항상 메시지를 보내주는 모든 분들께 감사하다"고 인사했다.



라멜라는 지난해 33세라는 다소 이른 나이에 은퇴를 선언했다. 오랜 시간 누적된 고관절 부상이 더 이상 버틸 수 없는 수준까지 악화됐기 때문이다.

라멜라는 당시 인터뷰에서 "오랫동안 나를 괴롭혀온 신체적인 문제 때문에 은퇴했다"며 "이 어려운 문제에도 불구하고 가능한 한 가장 좋은 방식으로 선수 생활을 마무리하고 싶었다"고 털어놓기도 했다.

라멜라는 연골 마모와 진행성 골관절염까지 겪었다고 밝혔다. 라멜라는 "지난 몇 년 동안 상황은 훨씬 심각해졌다. 고관절 상태가 점점 악화돼 예전처럼 훈련할 수 없게 됐다"며 "훈련 방식을 바꿔야 했다. 주중에 훈련을 하면 경기에 뛸 수 없을 정도였다"고 설명했다.



결국 통증을 안고 버티는 것도 한계에 다다랐고, 은퇴는 피할 수 없는 선택이 됐다.

라멜라는 선수 시절 강렬한 인상을 남긴 선수였다. 리버 플레이트 시절부터 차세대 스타로 주목받았고, AS로마를 거쳐 토트넘에 입성했다.

토트넘에서 8시즌을 보내며 팬들의 절대적인 지지를 받았다. 화려한 드리블과 특유의 투지, 라보나 킥으로 완성한 기상천외한 골들은 지금도 토트넘 팬들 기억에 진하게 남아 있다.



한국 팬들에게는 손흥민과 선의의 경쟁을 펼쳤던 선수로 잘 알려져 있다. 손흥민과 치열한 주전 경쟁을 펼쳤고, 손흥민이 라멜라에게 밀려 토트넘 입단 1년 만인2016년 여름 분데스리가 복귀 직전까지 갔을 정도로 실력이 대단했다.

하지만 부상으로 인해 손흥민에게 결국 주전 자리를 내줬고, 토트넘을 떠난 뒤에는 세비야로 이적했다.

이후 AEK 아테네에서 커리어를 마무리 한 라멜라는 지난해 세비야로 돌아가 코칭스태프의 일원으로 새 출발을 준비하고 있다.


사진=SNS / 연합뉴스


나승우 기자 winright95@xportsnews.com

"실시간 인기기사"

Copyright ⓒ 엑스포츠뉴스 무단 전재 및 재배포 금지

본 콘텐츠는 뉴스픽 파트너스에서 공유된 콘텐츠입니다.

다음 내용이 궁금하다면?
광고 보고 계속 읽기
원치 않을 경우 뒤로가기를 눌러주세요

실시간 키워드

  1. -
  2. -
  3. -
  4. -
  5. -
  6. -
  7. -
  8. -
  9. -
  10. -

0000.00.00 00:00 기준

이 시각 주요뉴스

알림 문구가 한줄로 들어가는 영역입니다

신고하기

작성 아이디가 들어갑니다

내용 내용이 최대 두 줄로 노출됩니다

신고 사유를 선택하세요

이 이야기를
공유하세요

이 콘텐츠를 공유하세요.

콘텐츠 공유하고 수익 받는 방법이 궁금하다면👋>
주소가 복사되었습니다.
유튜브로 이동하여 공유해 주세요.
유튜브 활용 방법 알아보기