-
신생아 흉부 X-ray에서 해부학적 기준이 되는 흉추 위치를 자동으로 인식하는 인공지능(AI) 기술이 개발됐다.
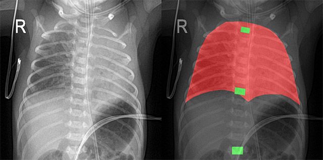
고려대학교 안산병원 소아청소년과 최병민 교수 연구팀은 딥러닝 기반 nnU-Net 모델을 활용해 신생아 흉부 X-ray 영상에서 주요 기준점인 흉추 T1, T7, T12를 자동으로 분할·표시하는 시스템을 개발했다. 이번 연구에는 코어라인소프트 연구진이 공동으로 참여했다.
-
연구팀은 국내 10개 대학병원에서 수집한 약 1만4000건의 신생아 흉부 X-ray 영상을 학습·검증에 활용했다. 그 결과 DSC threshold 0.50 또는 0.60 기준에서 흉추 위치 식별 정확도가 90% 이상이었으며, 다양한 촬영 환경에서도 일관된 성능을 보였다.
이번 연구는 카테터나 기관삽관 튜브의 위치를 직접 판독하는 것이 아니라, 해당 위치를 평가하기 위한 해부학적 기준점을 자동으로 제시하는 데 초점을 맞췄다. 기존에는 의료진이 흉추 위치를 기준으로 기구의 적정 위치를 판단해 왔으며, 이 과정은 경험과 육안 판독에 크게 의존하는 영역으로 꼽힌다.
해당 기술은 영상 판독 과정의 일관성을 높일 가능성을 보여줬다. 다만 실제 임상 적용과 효과는 추가 검증이 필요하다.
- 김정아 기자 jungya@chosun.com
최신뉴스
본 콘텐츠는 뉴스픽 파트너스에서 공유된 콘텐츠입니다.
