'둘째 임신' 아야네, 인간의 욕심이란…"제2의 이지훈? 성별 투표해 주세요" [★해시태그]

실시간 키워드

2022.08.01 00:00 기준

'둘째 임신' 아야네, 인간의 욕심이란…"제2의 이지훈? 성별 투표해 주세요" [★해시태그]

엑스포츠뉴스 2026-04-17 20:26:34 신고

3줄요약


(엑스포츠뉴스 황수연 기자) 이지훈의 아내 미우라 아야네가 둘째 성별에 대한 궁금증을 털어놨다. 

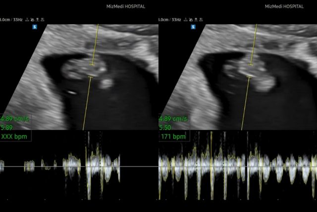
17일 아야네는 자신의 계정에 최근 촬영한 둘째 초음파 영상과 함께 이지훈과 아야네의 사진을 AI로 합성한 아기 얼굴을 공개했다. 

그는 "이번에 어렵게 임신하면서 그런 생각이 든 거예요. '성별이 뭐가 중요할까?' 둘째 첫번째 임신되었을 때는 아들이니 딸이니 누가 좋냐고 오빠랑 이야기도 하고 했는데…. 이번에는 그런 얘기마저 안 나오는 거 있죠. 성별이 뭐든 주심 감사해!!!! 이랬던 나는….. 정말 인간이란…. 8주가 넘으니 궁금해지기 시작하는 거 있죠. 인간에 욕심의 끝이 없다 회개하고 있어요ㅎㅎ"라고 말했다. 

이어 "근데 이번에 진짜 성별 저 상관없긴 하거든요!! 첫째 딸을 원했었는데 루희가 태어나주고, 둘째 성별에 대한 생각은 싹 사라졌는데 궁금하긴 한 거 있죠…..ㅋ"라며 "아직까진 '내가 이렇게 귀한 생명 얻었으니 낳을 때까지 모르다가 깜짝 서프라이즈처럼 태어나자마자 알게 되는 것도 뭔가 의미가 있지 않을까' 그런 생각도 하고 있거든요!? 현실적으로 좀 어떨까요?! 그렇게 해보신 분…. 없으시겠죠?ㅎㅎ"라고 질문을 던졌다.



또 아야네는 "하여튼 저보다 제 팔로워분들이 궁금해하실 것 같아서 심장소리 가져왔어요ㅋㅋㅋ!! 들으시고 댓글에 남겨주시거나 투표해 주세요. 과연 제2의 이지훈은 나올것인가….!!ㅎㅎ"라고 덧붙였다. 

이에 이지훈은 "난 아들도 궁금하긴해 ㅋㅋㅋ 근데 딸이믄 더 좋을거 같아. 루희한테는?"이라고 댓글을 남겼다. 

한편 이지훈은 2021년 11월 일본인 미우라 아야네와 14살의 나이 차이를 극복하고 결혼했다. 시험관 시술로 2024년 딸 루희 양을 얻었다. 이후 두 번의 유산 끝에 최근 둘째 임신 근황을 공개해 많은 축하를 받았다.

사진 = 아야네


황수연 기자 hsy1452@xportsnews.com

"실시간 인기기사"

Copyright ⓒ 엑스포츠뉴스 무단 전재 및 재배포 금지

본 콘텐츠는 뉴스픽 파트너스에서 공유된 콘텐츠입니다.

다음 내용이 궁금하다면?
광고 보고 계속 읽기
원치 않을 경우 뒤로가기를 눌러주세요

실시간 키워드

  1. -
  2. -
  3. -
  4. -
  5. -
  6. -
  7. -
  8. -
  9. -
  10. -

0000.00.00 00:00 기준

이 시각 주요뉴스

알림 문구가 한줄로 들어가는 영역입니다

신고하기

작성 아이디가 들어갑니다

내용 내용이 최대 두 줄로 노출됩니다

신고 사유를 선택하세요

이 이야기를
공유하세요

이 콘텐츠를 공유하세요.

콘텐츠 공유하고 수익 받는 방법이 궁금하다면👋>
주소가 복사되었습니다.
유튜브로 이동하여 공유해 주세요.
유튜브 활용 방법 알아보기