“희귀 난치성 양성종양 발생 기전 확인”

실시간 키워드

2022.08.01 00:00 기준

“희귀 난치성 양성종양 발생 기전 확인”

헬스위크 2026-01-13 11:07:21 신고

3줄요약

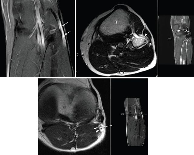
▲ 사진제공=서울성모병원 

가톨릭대학교 서울성모병원 신경외과 손병철 교수는 최근 미국 메이요 클리닉(Mayo Clinic) 신경외과 로버트 스피너(Robert J. Spinner) 교수팀과의 공동 연구를 통해 말초신경 마비를 유발하는 신경내 결절종(intraneural ganglion cyst)의 복잡한 발생 기전을 명확히 규명하였다. 신경내 결절종은 관절 내부의 활액이 신경 지배 분지를 타고 역류하여 신경 줄기 내부에 낭종을 형성하는 질환으로, 과거에는 원인이 불분명하여 수술 후에도 재발이 잦고 영구적인 신경 손상을 남기는 난치성 질환으로 분류되었다.


이번 성과는 지난 2018년 국제 학술지 ‘Asian Journal of Neurosurgery’에 발표한 손 교수의 증례 보고인 ‘비골신경 마비를 유발하는 신경곁조직 아래막 결절종’ 에서부터 시작되었다. 당시 손 교수는 2016년 메이요 클리닉 연구팀이 최초 확인하여 학계에 보고한 ‘신경곁조직 아래막(subparaneurial)’ 결절종이라는 매우 희귀한 변이를 실제 임상 현장에서 발견하고, 이를 성공적으로 치료한 과정을 상세히 기술하였다. 이는 기존에 알려진 신경외막(epineurium) 내부의 결절종과는 달리, 신경을 감싸는 더 깊은 층인 신경곁조직 아래 공간을 따라 낭종이 확산되는 독특한 병태생리를 규명한 중요한 전환점이 되었다.


▲ 가톨릭대학교 서울성모병원 신경외과 손병철 교수
특히 손 교수는 해당 연구를 통해 신경곁조직 아래막 결절종이 일반적인 결절종보다 신경 섬유에 더 밀착되어 있으며, 신경 줄기를 따라 매우 광범위하고 빠르게 전이될 수 있다는 사실을 확인하였다. 이러한 특성 때문에 일반적인 낭종 제거술로는 완치가 어려운 만큼, 관절과 연결된 신경 분지를 근본적으로 차단하는 정교한 수술 기법 적용이 필요할 수 있음을 제시하였다.

이후 손 교수는 지난 8년간 비골신경, 척골신경, 요천추신경총, 궁둥신경 등 인체 전반의 말초신경에서 발생하는 증례들을 지속적으로 추적하며 임상 데이터를 축적해 왔다. 2025년 메이요 클리닉과의 공동 연구 과정에서 이러한 데이터는 연구의 완성도를 높이는데 기여한 것으로 알려졌다. 연구팀은 신경곁조직 아래막 결절종이 신경의 주 경로뿐만 아니라 해부학적으로 분리된 여러 신경 분지로까지 확산될 수 있다는 병태생리 파트 1, 2 논문을 완성하였다. 이는 활액이 이동하는 미세한 해부학적 통로를 완벽히 이해해야만 재발 없는 치료가 가능하다는 사실을 과학적으로 입증한 것이다.

이번 병태생리 규명을 통해 향후 임상 현장에서도 보다 정교하고 근본적인 신경내 결절종 치료가 가능해질 것으로 기대된다. 복잡한 신경 해부학적 구조 내에서 낭종의 이동 경로를 명확히 파악할 수 있게 됨에 따라, 수술 중 불필요한 신경 조작을 줄이고 재발의 원인이 되는 관절 분지를 더욱 확실하게 제어하는 정밀 수술이 보편화될 전망이다. 이는 그동안 원인 모를 재발과 마비로 고통받던 환자들에게 말초신경 질환의 치료 수준을 한 단계 높이는 계기가 될 수 있다는 평가다.

손병철 교수는 “지난 2018년의 희귀 사례 보고를 시작으로 메이요 클리닉과의 협업을 통해 말초신경 질환의 세계적 기준을 정립하는 데 기여하게 되어 큰 보람을 느낀다”며, “이번 연구 성과는 단순한 질환 보고를 넘어, 신경내 결절종 환자들이 정확한 해부학적 진단을 바탕으로 마비의 위험 없이 완치될 수 있는 임상적 근거를 마련했다는 점에서 큰 의미가 있다”고 밝혔다.

Copyright ⓒ 헬스위크 무단 전재 및 재배포 금지

본 콘텐츠는 뉴스픽 파트너스에서 공유된 콘텐츠입니다.

다음 내용이 궁금하다면?
광고 보고 계속 읽기
원치 않을 경우 뒤로가기를 눌러주세요

실시간 키워드

  1. -
  2. -
  3. -
  4. -
  5. -
  6. -
  7. -
  8. -
  9. -
  10. -

0000.00.00 00:00 기준

이 시각 주요뉴스

알림 문구가 한줄로 들어가는 영역입니다

신고하기

작성 아이디가 들어갑니다

내용 내용이 최대 두 줄로 노출됩니다

신고 사유를 선택하세요

이 이야기를
공유하세요

이 콘텐츠를 공유하세요.

콘텐츠 공유하고 수익 받는 방법이 궁금하다면👋>
주소가 복사되었습니다.
유튜브로 이동하여 공유해 주세요.
유튜브 활용 방법 알아보기