식품·화장품 속 나노입자, 태아 뇌 발달 조용히 흔든다

실시간 키워드

2022.08.01 00:00 기준

식품·화장품 속 나노입자, 태아 뇌 발달 조용히 흔든다

연합뉴스 2026-01-08 11:12:44 신고

3줄요약

생명연,단순 독성 넘어 뇌 발달 과정 교란 가능성 제시

연구 결과 분석 연구 결과 분석

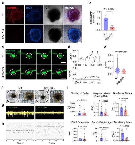
나노물질노출에 따른 중뇌오가노이드 기능변화 분석 [한국생명공학연구원 제공. 재판매 및 DB 금지]

(대전=연합뉴스) 김준호 기자 = 한국생명공학연구원은 줄기세포융합연구센터 이미옥 박사 연구팀이 인간 줄기세포 유래 뇌 오가노이드를 활용해 인간 뇌 발달 초기 과정에서 화장품과 산업 소재로 널리 쓰이는 실리카 나노입자가 미치는 영향을 규명했다고 8일 밝혔다.

연구팀은 뇌 오가노이드가 자라는 초기 단계에 실리카 나노입자를 노출한 결과, 세포가 대량으로 죽거나 사라지는 등 외형적으로 뚜렷한 이상은 관찰되지 않았지만 뇌의 바탕이 되는 세포들의 증식이 줄어들고 도파민 신경세포로 자라는 과정이 약해지는 변화가 나타났다.

뇌 발달 과정에서 중요한 역할을 하는 세포 간 신호 전달과 신경세포 간 소통이 전반적으로 약해지고, 그 결과 신경세포들이 서로 충분히 연결되지 못하는 변화가 관찰됐다.

뇌를 보호하는 역할을 하는 세포들이 필요 이상으로 활성화되면서 염증과 관련된 신호가 증가하는 현상도 확인됐다.

이러한 변화들은 즉각적인 손상을 일으키지는 않지만 시간이 지나면서 뇌 발달의 흐름에 영향을 미칠 수 있는 '조용하지만 지속적인 변화'로 작용할 수 있다고 연구팀은 설명했다.

국가독성과학연구소 이향애 박사팀이 참여한 가운데 진행된 이번 연구는 나노물질의 영향이 단순히 세포를 죽이느냐의 문제가 아니라 뇌가 자라는 과정 자체를 미세하게 변화시킬 수 있음을 보여주며, 사람의 뇌 발달을 닮은 모델을 통해 이러한 변화를 직접 확인했다는 점에서 의미가 있다고 연구팀은 덧붙였다.

이미옥 박사는 "이번 연구는 일상에서 사용하는 물질이 세포를 죽이지 않더라도 사람의 뇌가 자라는 과정에는 영향을 줄 수 있다는 점을 보여준다"며 "앞으로 식품·화장품·환경 분야에서 나노물질의 안전성을 평가할 때 성인뿐만 아니라 태아와 어린이처럼 발달 단계에 있는 사람들을 고려해야 함을 시사한다"고 말했다.

kjunho@yna.co.kr

Copyright ⓒ 연합뉴스 무단 전재 및 재배포 금지

본 콘텐츠는 뉴스픽 파트너스에서 공유된 콘텐츠입니다.

다음 내용이 궁금하다면?
광고 보고 계속 읽기
원치 않을 경우 뒤로가기를 눌러주세요

실시간 키워드

  1. -
  2. -
  3. -
  4. -
  5. -
  6. -
  7. -
  8. -
  9. -
  10. -

0000.00.00 00:00 기준

이 시각 주요뉴스

알림 문구가 한줄로 들어가는 영역입니다

신고하기

작성 아이디가 들어갑니다

내용 내용이 최대 두 줄로 노출됩니다

신고 사유를 선택하세요

이 이야기를
공유하세요

이 콘텐츠를 공유하세요.

콘텐츠 공유하고 수익 받는 방법이 궁금하다면👋>
주소가 복사되었습니다.
유튜브로 이동하여 공유해 주세요.
유튜브 활용 방법 알아보기