근육량 많고 복부지방 적을수록 뇌 노화 늦춰져

실시간 키워드

2022.08.01 00:00 기준

근육량 많고 복부지방 적을수록 뇌 노화 늦춰져

쇼앤 2025-11-25 09:24:58 신고

3줄요약
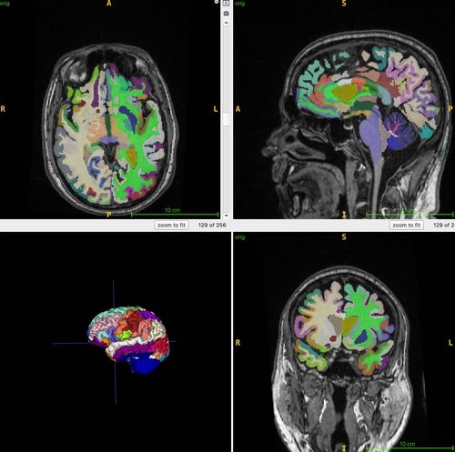
(사진출처: 연합뉴스)
(사진출처: 연합뉴스)

미국 워싱턴대 의대 연구진이 전신 MRI와 인공지능(AI) 분석을 통해 근육량과 복부지방이 뇌 노화 속도와 연관된다는 결과를 발표했다.

연구팀은 건강한 성인 1천164명(평균 55.17세)을 대상으로 총근육량, 내장지방, 피하지방을 정량화하고 MRI 기반 ‘뇌 나이’를 산출했다. 분석 결과 근육량이 많을수록 실제 나이와 뇌 나이가 모두 더 낮게 나타났다. 총근육량의 상관계수(rp)는 실제 나이 -0.2579, 뇌 나이 -0.2497로 통계적으로 유의한 반비례 관계였다.

또 내장지방 대비 근육 비율이 낮을수록 실제 나이와 뇌 나이가 더 높아지는 중등도 연관성이 확인됐다(rp 0.3755·0.3797). 반면 피하지방은 뇌 노화와 관련이 없는 것으로 나타났다.

연구팀은 “근육이 많고 숨겨진 복부지방이 적은 사람이 더 젊은 뇌를 가진다”며 “근육량 증가와 내장지방 감소가 알츠하이머병 등 뇌 질환 위험을 낮추는 데 도움이 될 수 있다”고 설명했다. 이번 연구 결과는 11월 30일부터 열리는 북미영상의학회(RSNA 2025)에서 발표된다.

Copyright ⓒ 쇼앤 무단 전재 및 재배포 금지

본 콘텐츠는 뉴스픽 파트너스에서 공유된 콘텐츠입니다.

다음 내용이 궁금하다면?
광고 보고 계속 읽기
원치 않을 경우 뒤로가기를 눌러주세요

실시간 키워드

  1. -
  2. -
  3. -
  4. -
  5. -
  6. -
  7. -
  8. -
  9. -
  10. -

0000.00.00 00:00 기준

이 시각 주요뉴스

알림 문구가 한줄로 들어가는 영역입니다

신고하기

작성 아이디가 들어갑니다

내용 내용이 최대 두 줄로 노출됩니다

신고 사유를 선택하세요

이 이야기를
공유하세요

이 콘텐츠를 공유하세요.

콘텐츠 공유하고 수익 받는 방법이 궁금하다면👋>
주소가 복사되었습니다.
유튜브로 이동하여 공유해 주세요.
유튜브 활용 방법 알아보기