-
50세 이하의 호르몬 수용체 음성 유방암 환자가 수술 전 유방 MRI 검사를 했을 때 재발 위험이 낮게 나타났다는 장기 연구 결과가 나왔다.
서울대병원 영상의학과 하수민·연희라 교수, 유방내분비외과 김홍규 교수 연구팀은 4,400여 명의 젊은 유방암 환자를 평균 7.7년간 추적 관찰한 결과, 수술 전 MRI를 시행한 환자의 동측 유방 내 재발률이 절반 수준으로 낮았다고 5일 밝혔다. 이번 연구는 영상의학 분야 국제학술지 Radiology(IF 15.2)에 게재됐다.
유방암은 50세 이하 환자의 비중이 꾸준히 증가하고 있다. 젊은 환자는 유방 조직이 치밀해 기존 유방촬영술이나 초음파 검사만으로는 종양을 놓치기 쉽고, 특히 호르몬 수용체 음성 유방암은 재발률이 높아 치료 예후가 불량한 것으로 알려져 있다.
연구팀은 2011년부터 2017년까지 서울대병원과 분당서울대병원에서 수술받은 50세 미만 유방암 환자 4,414명을 대상으로, 수술 전 MRI 시행 여부에 따른 장기 예후를 비교했다.
-
-
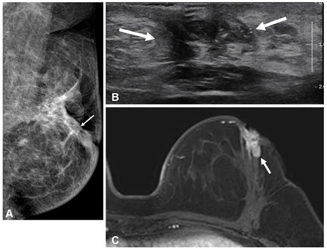
- ▲ 수술 전 MRI 검사를 시행하지 않은 50세 이하 유방암 환자의 수술 2년 후 영상. (A) 유방촬영술, (B) 초음파, (C) MRI. 동측 유방 내 재발 병변(화살표)이 관찰된다. /이미지 제공=서울대병원
대상자는 MRI군(4,118명)과 비MRI군(296명)으로 나뉘었으며, 나이·병기·종양 크기 등 임상 변수를 통계적으로 보정한 뒤 중앙값 7.7년 동안 추적했다.
분석 결과, 전체 재발률과 생존율에는 유의한 차이가 없었지만, 동측 유방 내 재발률은 MRI군 1.6%, 비MRI군 3.3%로 절반 수준이었다.
특히 호르몬 수용체 음성 유방암 환자군에서는 MRI군의 전체 재발률이 8.2%, 비MRI군은 20.7%로, 재발 위험이 60% 이상 낮았다.
반면 호르몬 수용체 양성 환자군에서는 두 그룹 간 차이가 없었다.
-
-
-
- ▲ 호르몬 수용체 음성 유방암 환자의 누적 재발률. MRI군(붉은 점선)은 비MRI군(파란 실선) 대비 전체 재발률(좌)과 동측 유방 내 재발률(우)이 모두 낮게 나타났다. /이미지 제공=서울대병원
하수민 교수는 “이번 연구는 젊은 유방암 환자를 대상으로 수술 전 MRI의 장기적 효과를 체계적으로 분석한 것”이라며 “특히 호르몬 수용체 음성 아형에서는 MRI 검사가 정확한 병기 평가와 재발 예방에 기여할 수 있다는 근거를 제시했다”고 설명했다.
연구팀은 “모든 유방암 환자에게 수술 전 MRI를 일괄적으로 권장할 필요는 없지만, 재발 위험이 큰 고위험군에서는 선택적으로 시행할 때 예후 개선에 도움이 될 수 있다”고 밝혔다.
이번 연구는 젊은 유방암 환자에서 영상 검사 전략을 세분화할 수 있는 과학적 근거를 제시한 첫 장기 추적 연구로 평가된다. 연구팀은 향후 호르몬 수용체 상태, 치밀유방 여부 등과 결합해 맞춤형 MRI 검사 기준을 구체화하는 추가 연구를 이어갈 계획이다.
-
- 김정아 기자 jungya@chosun.com
최신뉴스
본 콘텐츠는 뉴스픽 파트너스에서 공유된 콘텐츠입니다.

