순천향대 부천병원, ‘신개념 투석혈관 형성술(HeRO Graft)’ 도입

실시간 키워드

2022.08.01 00:00 기준

순천향대 부천병원, ‘신개념 투석혈관 형성술(HeRO Graft)’ 도입

헬스위크 2025-09-29 11:09:21 신고

3줄요약

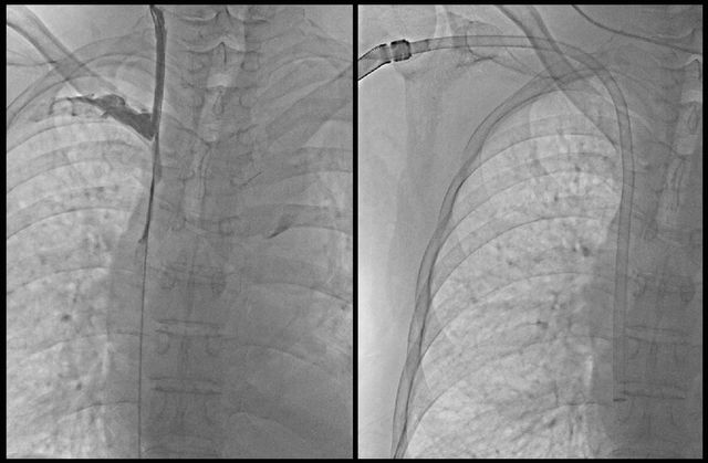
▲ 사진제공=순천향대학교 부천병원 

순천향대학교 부천병원 혈관외과가 국내 도입 초기 단계에 있는 ‘신개념 투석혈관 형성술(HeRO Graft·Hemodialysis Reliable Outflow Graft)’을 성공적으로 시행했다고 29일 밝혔다. 이번 시술은 국내 18번째, 경인 지역 8번째 사례다.

HeRO Graft는 양팔의 혈관이 막혀 더 이상 투석 혈관을 만들 수 없는 말기 신부전 환자에게 새로운 혈액투석 통로를 제공하는 희소·필수 치료 재료이다. 기존에는 팔의 혈관이 모두 막히면 다리에 투석 혈관을 만들 수밖에 없었으나, 이 경우 보행이 불편해 환자의 삶의 질이 크게 떨어지는 한계가 있었다.


▲ 순천향대학교 부천병원 진하나 교수 
이번 시술 환자는 10년간 투석을 받아 왔으며, 팔의 혈관이 모두 막혀 얼굴과 목, 팔이 심하게 부어 있었다. 시술은 부분마취 하에 진행됐다. 먼저 심종준 영상의학과 교수가 우측 팔의 막힌 중심정맥을 풍선 확장술로 뚫고, HeRO Graft의 특수 정맥 연결 부위를 삽입했다. 이후 진하나 혈관외과 교수가 인공혈관을 연결해 마무리했다. 시술 후 4주가 지나 인공혈관이 조직과 안정적으로 붙으면서 환자는 우측 팔을 통한 혈액투석이 가능해졌다.

진하나 교수는 “HeRO Graft는 양쪽 팔의 중심정맥이 모두 막힌 장기 투석 환자에게 팔로 투석할 수 있게 해주는 중요한 치료 대안”이라며 “시술 후 부종이 사라지고 투석 효율이 향상돼 환자의 삶의 질이 크게 개선됐다”고 말했다.

한편, HeRO Graft는 2019년 식품의약품안전처로부터 희소·긴급 도입 필요 의료기기로 지정됐으며, 2023년 7월부터 본격적인 국내 공급과 시술이 가능해졌다.

Copyright ⓒ 헬스위크 무단 전재 및 재배포 금지

본 콘텐츠는 뉴스픽 파트너스에서 공유된 콘텐츠입니다.

다음 내용이 궁금하다면?
광고 보고 계속 읽기
원치 않을 경우 뒤로가기를 눌러주세요

실시간 키워드

  1. -
  2. -
  3. -
  4. -
  5. -
  6. -
  7. -
  8. -
  9. -
  10. -

0000.00.00 00:00 기준

이 시각 주요뉴스

알림 문구가 한줄로 들어가는 영역입니다

신고하기

작성 아이디가 들어갑니다

내용 내용이 최대 두 줄로 노출됩니다

신고 사유를 선택하세요

이 이야기를
공유하세요

이 콘텐츠를 공유하세요.

콘텐츠 공유하고 수익 받는 방법이 궁금하다면👋>
주소가 복사되었습니다.
유튜브로 이동하여 공유해 주세요.
유튜브 활용 방법 알아보기