연세사랑병원, 고령 환자 무릎 인공관절 재치환술 위험과 중요성 강조

실시간 키워드

2022.08.01 00:00 기준

연세사랑병원, 고령 환자 무릎 인공관절 재치환술 위험과 중요성 강조

포인트경제 2025-07-25 14:24:41 신고

3줄요약

[포인트경제] 인공관절 수술을 받은 환자 중 일부는 시간이 지나면서 재치환술을 받아야 한다. 퇴행성 관절염으로 65세 이전에 무릎에 인공관절을 삽입한 경우, 평균 15~20년의 인공관절 수명이 지나면 재치환 수술이 필요하다. 기대수명이 길어진 만큼 한 번의 인공관절 수술로 평생을 보내기 어려운 환자가 늘고 있다. 인공관절 재수술은 전체 인공관절 수술의 5~10%에 달한다.

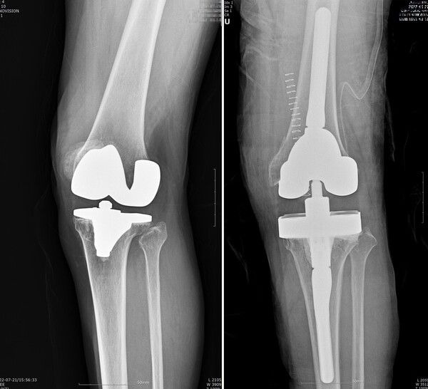
인공관절 재치환술 전후 /연세사랑병원 (포인트경제) 인공관절 재치환술 전후 /연세사랑병원 (포인트경제)

건강보험심사평가원 자료에 따르면 2019년 인공관절 수술 11만7601건 중 34.6%인 4만741건이 69세 이하 환자에게 시행됐다. 비교적 이른 나이에 수술을 받은 환자는 생활하면서 연골이 점차 마모되고 인공관절 수명이 다하면 통증이 재발한다. 이때 재치환술이 유일한 치료법이다.

재수술 대상자 상당수는 고령자이며, 이들 중에는 고혈압, 당뇨 등 만성질환을 가진 경우가 많다. 감염이나 염증으로 뼈가 괴사된 경우도 있어 수술 난이도가 높고 위험 부담이 크다. 연세사랑병원이 2008년부터 2020년까지 인공관절 재수술을 받은 환자 809명을 조사한 결과, 80세 이상 고령 환자 비율이 16%에 달했다. 고령과 합병증 위험을 이유로 적극적인 치료 대신 진통제 처방에 그치는 경우도 있다.

재수술을 고려할 때는 수술 집도의의 임상경험이 풍부한지, 내과 등 협진을 통한 염증 관리와 만성질환 조절, 수술 후 관리가 적절히 시행되고 있는지 확인해야 한다. 연세사랑병원 고용곤 병원장은 “무릎 인공관절 재수술은 첫 수술보다 수술 범위가 넓고 감염 위험도 높기 때문에 수술 전 충분한 평가와 계획이 중요하다”며 “경험 많은 의사를 통해 재수술을 받는 것이 무엇보다 중요하다”고 말했다.

인공관절 재수술이 필요한 대표적 상황은 △연골 마모로 인공관절 기능 저하 △수술 중 감염 발생 △염증에 의한 뼈 손상(용해) 또는 녹아내림 △인공관절 고정 금속의 움직임인 ‘해리 현상’ △외상으로 인한 보형물 손상 등이다.

감염, 염증, 해리 현상은 1차 수술의 오류에서 비롯되는 경우가 많으며, 연골 마모는 무리한 운동이나 외상 등 환자 스스로 관리 부족에서 발생하는 경우가 많다. 따라서 인공관절 수술 후에는 관절에 무리가 가는 활동을 줄이고 꾸준한 관리와 정기 검진을 병행해야 한다.

고 원장은 “인공관절 재치환술은 단순한 재수술이 아니라 환자가 삶의 질을 다시 회복할 수 있도록 돕는 치료”라며 “정확한 시기에 재수술을 받으면 관절 기능을 유지한 채 일상생활을 이어갈 수 있다”고 말했다.

Copyright ⓒ 포인트경제 무단 전재 및 재배포 금지

본 콘텐츠는 뉴스픽 파트너스에서 공유된 콘텐츠입니다.

다음 내용이 궁금하다면?
광고 보고 계속 읽기
원치 않을 경우 뒤로가기를 눌러주세요

실시간 키워드

  1. -
  2. -
  3. -
  4. -
  5. -
  6. -
  7. -
  8. -
  9. -
  10. -

0000.00.00 00:00 기준

이 시각 주요뉴스

알림 문구가 한줄로 들어가는 영역입니다

신고하기

작성 아이디가 들어갑니다

내용 내용이 최대 두 줄로 노출됩니다

신고 사유를 선택하세요

이 이야기를
공유하세요

이 콘텐츠를 공유하세요.

콘텐츠 공유하고 수익 받는 방법이 궁금하다면👋>
주소가 복사되었습니다.
유튜브로 이동하여 공유해 주세요.
유튜브 활용 방법 알아보기