16기 옥순, "갱년기 증상이냐"더니 '임신'이었다…아빠는 누구? [엑's 이슈]

실시간 키워드

2022.08.01 00:00 기준

16기 옥순, "갱년기 증상이냐"더니 '임신'이었다…아빠는 누구? [엑's 이슈]

엑스포츠뉴스 2025-07-09 18:10:01 신고

3줄요약


(엑스포츠뉴스 이예진 기자) '나는 솔로' 돌싱특집에 출연했던 16기 옥순이 열애, 결혼보다 먼저 임신 소식을 알려 놀라움을 안겼다. 축하 반응이 이어지고 있는 가운데, 그의 최근 발언이 눈길을 끈다.

9일 16기 옥순은 "안녕하세요, 여러분^^ 16기 옥순을 시작으로 지난 2년 동안 여러분과 함께 울고 웃으며, 진심으로 소중한 시간을 보냈어요"라는 글과 함께 장문의 글을 게재하며 임신 소식을 알렸다.

그는"그 시간 속에서 저는 진한 인생의 감정들을 겪었고, 다시 한번 더 ‘행복할 수 있다’는 마음을 믿게 되었어요. 지금 이 순간을 떠올리면, 그 모든 시간들이 이 기적 같은 오늘을 위한 준비였던 것 같아요"라고 운을 뗀 뒤, "정말 감사하게도, 저를 있는 그대로 온전히 사랑해 주는 사람을 만나게 되었고, 그 사랑이 단 한 번에 기적이 되었습니다.  네, 저… 임신했습니다!"라고 전했다.

16기 옥순은 "아직도 실감이 나지 않지만, 매일 제 몸 안에서 새로운 생명이 자라고 있다는 걸 느끼며 설렘과 감사로 하루하루를 보내고 있어요"라고 덧붙였다.

열애, 결혼 소식 없이 임신 소식을 먼저 전하자 많은 네티즌들은 "결혼하셨나요?", "일단 축하드려요!"라며 축하와 동시에 혼전임신에 놀란 반응을 보였다. 

최근 16기 옥순은 자신의 개인 계정을 통해 "요즘 자도 자도 피로하고 기초대사량도 현저히 낮아지고 수면장애에 식욕 증가 등 이런 증상들이 나타나고 있는데 저만 혹시 이러나요?"라며 "걱정돼서 찾아보니 갱년기 증상과 너무 흡사한 거 있죠"라며 고민을 토로한 바 있다. 이는 갱년기 증상이 아닌 임신 증상이었다.



갱년기 증상을 토로한 해당 게시글은 현재 삭제 및 비공개 처리한 것으로 보인다. 

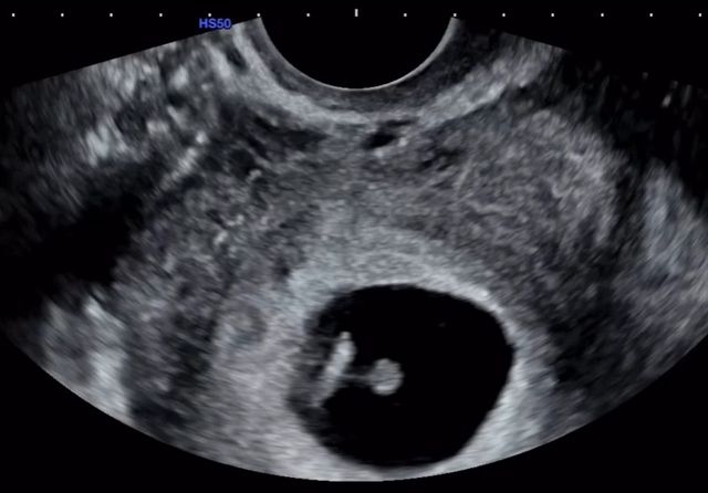
이날 16기 옥순은 초음파 사진도 함께 공개하며 "정말 감사하게도, 저를 있는 그대로 온전히 사랑해 주는 사람을 만나게 되었다"며 남자친구를 언급, "많은 분들이 임신을 위해 많은 노력을 하고 계신 걸 알기에, 그저 축하만 받기보다 제가 임신을 준비하며 지켜온 작은 습관들과 마음가짐을 함께 나누고 싶다"고 전했다.

16기 옥순의 깜짝 임신 발표에 많은 이들이 놀란 반응과 축하 반응을 동시에 보이고 있다.

사진=16기 옥순 계정


이예진 기자 leeyj0124@xportsnews.com

"실시간 인기기사"

Copyright ⓒ 엑스포츠뉴스 무단 전재 및 재배포 금지

본 콘텐츠는 뉴스픽 파트너스에서 공유된 콘텐츠입니다.

다음 내용이 궁금하다면?
광고 보고 계속 읽기
원치 않을 경우 뒤로가기를 눌러주세요

실시간 키워드

  1. -
  2. -
  3. -
  4. -
  5. -
  6. -
  7. -
  8. -
  9. -
  10. -

0000.00.00 00:00 기준

이 시각 주요뉴스

알림 문구가 한줄로 들어가는 영역입니다

신고하기

작성 아이디가 들어갑니다

내용 내용이 최대 두 줄로 노출됩니다

신고 사유를 선택하세요

이 이야기를
공유하세요

이 콘텐츠를 공유하세요.

콘텐츠 공유하고 수익 받는 방법이 궁금하다면👋>
주소가 복사되었습니다.
유튜브로 이동하여 공유해 주세요.
유튜브 활용 방법 알아보기