순환기내과 임홍의 교수와 조준환 교수는 지난 13일, 국내 최초로 4D 심장내 초음파를 이용한 경피적 대동맥판막 삽입술 2케이스를 성공적으로 실시했다. 이번 시술은 중앙대학교광명병원 심장뇌혈관병원이 주최한 국제심장혈관 시술 영상포럼(K-imaging 2025) 중 라이브 케이스로 진행됐다. 전 세계 13개국의 순환기내과 중재시술 전문의들이 지켜보는 가운데, 경피적 대동맥판막 삽입술(TAVI)과 같은 고난도 중재시술에서 4D 심장내 초음파의 유용성과 안전성을 직접 시연해 국내외 전문의들로부터 큰 호평을 받았다.
경피적 대동맥판막 삽입술은 허벅지 동맥을 따라 심장판막까지 풍선을 진입시킨 뒤, 좁아진 판막 부위에서 풍선을 부풀려 그물망 형태의 인공판막 스텐트를 삽입해 기존 판막을 대체하는 시술이다. 고령의 중증 대동맥판막 협착증 환자에서 시행하며, 대동맥 및 혈관 손상, 혈전 유발로 인한 뇌졸중, 심전도 이상 등의 합병증 위험이 높아 심뇌혈관 중재시술 중에서도 가장 난이도가 높은 시술로 꼽힌다.
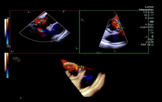
4D 심장내 초음파는 심장 내부의 구조를 실시간으로 정밀하게 보여주는 고해상도 영상 기술로, 기존 2D 심장내 초음파에 비해 다양한 각도에서 더 정확한 해부학적 정보를 입체영상으로 제공한다. 심장내 초음파 분야의 최고 권위자인 임홍의 교수는 “입체적 영상을 실시간으로 활용하면 시술자는 심장과 시술 장치의 구조를 보다 정확하게 파악할 수 있어, 시술의 효율성과 안전성을 최대로 높일 수 있다”며 “특히 정밀한 기술이 요구되는 경피적 대동맥판막 삽입술과 같은 고난도 시술에서 그 활용도가 더욱 기대된다”고 밝혔다
조준환 교수는 “이번 시술은 국내 심장중재시술 분야의 하나의 전환점이 될 수 있는 매우 중요한 증례”라며 “앞으로 경피적 대동맥판막 삽입술 뿐 만 아니라, 고난도의 심장 중재시술 전반에 걸쳐 적용 범위가 확대될 것으로 기대한다”고 말했다.
한편, 수도권 중증치료 거점병원인 중앙대학교광명병원은 우수한 의료진과 첨단 장비, 탄탄한 인프라를 바탕으로 심혈관 질환 치료 분야에서 두각을 나타내고 있다. 최근에는 국내 최초로 방사선제로 펄스장 절제술에 성공했으며, 국제 ‘방사선 제로 부정맥 시술 교육센터’로 지정되기도 했다.
|
Copyright ⓒ 이데일리 무단 전재 및 재배포 금지
본 콘텐츠는 뉴스픽 파트너스에서 공유된 콘텐츠입니다.
