[전승준 더봄] 육안으론 안 보이는 치아 건강 상태 확인 방법은?

실시간 키워드

2022.08.01 00:00 기준

[전승준 더봄] 육안으론 안 보이는 치아 건강 상태 확인 방법은?

여성경제신문 2025-06-20 10:00:00 신고

우리는 몸과 마음, 감정이 조화롭게 어우러져 있습니다. 그래서 입안의 작은 치아에 나타나는 이상도 단순히 국소적인 문제만이 아니라 전신적으로, 정서적으로 까지도 영향을 받을 수 있습니다. 치과 진료는 단지 지금 보이는 문제만 해결하는 것이 아니라 왜 그런 문제가 생겼는지 파악하고, 치료 후에도 건강한 상태를 유지할 수 있도록 예방 계획까지 함께 세우는 과정입니다.

치과 검사는 환자가 느끼는 불편함이나 이상 증상을 말로 표현하는 것에서 시작됩니다. 어린이의 경우에는 표현이 어려울 수 있어 부모님이나 보호자의 설명이 큰 도움이 됩니다. 증상이 언제 시작되었는지, 얼마나 오래 지속됐는지, 어떤 상황에서 더 심해지는지 등을 듣고 기록합니다.

그리고 증상과 관련이 있을 수 있는 전신 질환도 함께 확인합니다. 예를 들어, 당뇨병이 있으면 입안에 생긴 상처가 잘 아물지 않고 오래 지속될 수 있습니다. 그러므로 과거의 수술, 입원 경험, 감염, 알레르기, 사고 이력 등도 꼼꼼히 확인하게 됩니다. 몸 전체의 건강 상태를 확인하고, 필요에 따라 체온, 혈압, 맥박, 호흡 등을 체크한 뒤에야 본격적으로 입안을 살펴봅니다.

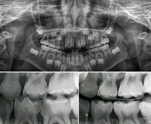
파노라마 방사선 사짐 및 치아사이의 충치를 검사하는 교익사진
파노라마 방사선 사진 및 치아 사이의 충치를 검사하는 교익사진 /전승준

입안을 살펴보는 검사는 눈에 보이는 상태, 즉 객관적인 검사가 먼저 이루어집니다. 다시 한번 강조드리지만 치과 검사는 단순히 치아만 보는 것이 아닙니다. 입술, 잇몸, 혀, 입천장, 인두(목 안쪽) 등 연조직까지 꼼꼼히 살핀 후에야 치아를 검사합니다. 그래야 놓치는 부분 없이 진단할 수 있기 때문입니다.

치아 검사에서는 충치 여부뿐 아니라 색, 크기, 형태, 표면 상태도 살펴보고, 치아 배열과 맞물림 상태, 그리고 치아를 지탱하는 잇몸 상태도 함께 확인합니다. 필요에 따라 만져보거나 두드려보는 방법도 사용합니다.

그리고 이어서 빠질 수 없는 검사가 바로 방사선 검사입니다. 구강 내에서 촬영하는 작은 엑스레이 사진부터, 턱 전체를 찍는 파노라마 사진, 치과용 컴퓨터단층방사선사진(CT)까지 종류가 다양합니다. 육안으로는 볼 수 없는 치아 속 구조나 잇몸뼈 상태, 혹은 염증이나 낭종 같은 병적인 상태를 파악하는 데 꼭 필요한 검사입니다.

하지만 많은 분들, 특히 아이를 데려오신 보호자분들께서 “방사선은 몸에 해로운 것 아닌가요?”하고 걱정하시고 질문하시면서 촬영하기를 꺼리시는 분들이 꽤 많이 있습니다. 그래서 그분들을 안심시켜드리는 것이 치과 의료진의 중요한 업무중의 하나입니다.

치과에서 사용하는 방사선은 매우 적은 양이며, 실제로 입안 엑스레이 한 장을 찍을 때 나오는 방사선량은 우리가 평소 일상생활에서 자연스럽게 햇볕을 통해 받는 양과 비슷합니다. 게다가 촬영 시에는 납으로 된 방호복을 입고 검사하기 때문에 그나마도 대부분 차단이 됩니다.

그리고 최근에는 ‘정량광형광기 검사’라는 새로운 진단 기술도 함께 사용되고 있습니다. 2021년부터 도입된 이 검사는 ‘큐레이(Q-ray)’라는 장비로 파란색 빛(가시광선)을 입안에 비추어 칫솔질이 잘 안된 곳이나 세균이 많은 부위를 탐지합니다.

무기질이 빠져나간 충치 부위는 어둡게 보이고, 세균이 만들어내는 특정 물질은 붉은 형광으로 나타나기 때문에 충치뿐 아니라 치아의 균열, 치태나 치석까지 확인할 수 있습니다. 아무리 설명을 해드려도 방사선이 걱정되시는 분들께는 더욱 유용한 검사 도구입니다.

정량광형광기(Q-ray) 검사법 /(주)아이오바이오
정량광형광기(Q-ray) 검사법 /(주)아이오바이오

물론 이 검사만으로 방사선 검사를 대체할 수는 없습니다. 앞서 설명한 다양한 검사들과 방사선 검사, 그리고 이 광학 장비를 함께 활용할 때 훨씬 더 정확한 진단과 치료 계획이 가능해진다는 것을 꼭 아시면 좋겠습니다.

치과 검진 및 치료 계획 수립, 이어지는 진료는 단순히 눈으로 보고 판단해서 진행되는 것이 아니라는 것을 다시 한번 강조드리고, 환자의 병력, 검사 결과, 영상 분석 등을 바탕으로 여러 정보를 종합해 신중하게 계획되므로 각자 환자 한 분 한 분께서 가장 적절한 검사를 통한 치과 진료를 받으시기를 바랍니다.

여성경제신문 전승준 (소아치과)치과의사 pedojune@hanmail.net

Copyright ⓒ 여성경제신문 무단 전재 및 재배포 금지

본 콘텐츠는 뉴스픽 파트너스에서 공유된 콘텐츠입니다.

다음 내용이 궁금하다면?
광고 보고 계속 읽기
원치 않을 경우 뒤로가기를 눌러주세요

실시간 키워드

  1. -
  2. -
  3. -
  4. -
  5. -
  6. -
  7. -
  8. -
  9. -
  10. -

0000.00.00 00:00 기준

이 시각 주요뉴스

알림 문구가 한줄로 들어가는 영역입니다

신고하기

작성 아이디가 들어갑니다

내용 내용이 최대 두 줄로 노출됩니다

신고 사유를 선택하세요

이 이야기를
공유하세요

이 콘텐츠를 공유하세요.

콘텐츠 공유하고 수익 받는 방법이 궁금하다면👋>
주소가 복사되었습니다.
유튜브로 이동하여 공유해 주세요.
유튜브 활용 방법 알아보기