‘햇볕 소독으로는 안 돼요’.. 이불 진드기 잡는 확실한 살균 방법

실시간 키워드

2022.08.01 00:00 기준

‘햇볕 소독으로는 안 돼요’.. 이불 진드기 잡는 확실한 살균 방법

뉴스클립 2025-03-28 16:59:40 신고

3줄요약
ⓒ게티이미지뱅크(이불 빨래)
ⓒ게티이미지뱅크(이불 빨래)

환절기가 시작되면 코가 간지럽고 재채기가 잦아지는 사람들이 늘어난다.

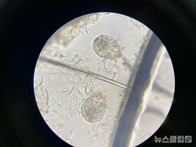
그 원인 중 하나는 바로 이불 속에 숨어 있는 진드기다. 매일 밤 우리 몸과 가장 밀접하게 닿는 이불은 세균과 진드기의 온상이 되기 쉽고, 알레르기 비염이나 아토피 피부염 같은 질환을 유발할 수 있다.

많은 사람들이 햇볕에 이불을 널어 말리는 방식으로 이를 해결하려 하지만, 최근 전문가들은 “햇볕만으로는 충분하지 않다”고 말한다. 이불 속 진드기를 확실히 제거하기 위해서는 보다 강력한 방법이 필요하다.

ⓒ게티이미지뱅크(이불)
ⓒ게티이미지뱅크(진드기)

햇볕만으론 한계 있다..
고온 스팀이 해답

ⓒ게티이미지뱅크(이불)
ⓒ게티이미지뱅크(이불)

햇볕 소독은 오래전부터 내려오는 전통적인 침구 관리법이다. 하지만 실내 먼지나 진드기는 이불 깊숙한 곳에 숨어 있어 표면만 말리는 방식으로는 충분히 제거되지 않는다. 특히 진드기는 섭씨 50도 이상의 온도에서 10분 이상 노출되어야 제거가 가능하다는 연구 결과도 있다. 일반적인 햇볕 소독으로는 이 조건을 만족시키기 어렵다.

이때 활용할 수 있는 도구가 바로 스팀다리미다. 스팀다리미는 섭씨 100도에 가까운 고온의 수증기를 짧은 시간 안에 집중적으로 분사할 수 있어, 이불 속 깊은 곳까지 열이 침투한다. 이 과정을 통해 진드기와 그 배설물, 세균까지 함께 제거할 수 있다. 또한 침대 매트리스, 베개, 소파 등 일반 세탁이 어려운 패브릭 제품에도 적용이 가능해 활용도가 높다.

스팀다리미를 사용할 때는 이불 표면을 천천히, 일정한 속도로 문지르듯 이동하며 스팀을 분사하는 것이 핵심이다. 스팀 후에는 반드시 충분히 건조시켜야 진드기가 다시 서식하지 않으며, 습기로 인한 곰팡이 발생도 방지할 수 있다.

의류 살균기나 건조기는 이제 필수

ⓒ게티이미지뱅크(이불)
ⓒ게티이미지뱅크(이불)

이불을 관리하는 또 다른 효과적인 방법은 의류 살균기를 활용하는 것이다.

최근 출시되는 의류 관리기나 건조기에는 진드기 제거 전용 코스가 탑재되어 있어 간단한 버튼 조작만으로도 침구류를 고온 살균할 수 있다. 실제로 국내 주요 가전 브랜드들은 자사 제품의 진드기 제거 효과에 대해 공식적으로 인증을 받고 있으며, 소비자 만족도도 높다.

건조기 역시 이불 관리에 매우 유용하다. 집에 건조기가 없어도 요즘에는 집 근처에 대부분 코인 빨래방이 있는 경우가 많아서 건조기만 사용하면 합리적인 가격에 이불 건조를 할 수 있다.

60도 이상의 열풍으로 이불을 말리면 진드기는 물론 습기와 곰팡이균까지 함께 제거된다. 특히 외부 날씨에 영향을 받지 않고 언제든 이불을 관리할 수 있다는 점에서 바쁜 현대인들에게는 실용적인 선택지다. 다만 고온 건조가 반복되면 일부 섬유 소재는 손상될 수 있으므로, 제품 라벨을 반드시 확인한 후 사용해야 한다.

진드기를 줄이기 위해서는 단발성 관리가 아닌 정기적인 관리 루틴이 중요하다. 이불은 가능하다면 2주에 한 번씩 세탁하거나, 세탁이 어렵다면 스팀다리미나 살균기, 건조기를 활용해 주기적으로 열 살균을 해주는 것이 바람직하다.

Copyright ⓒ 뉴스클립 무단 전재 및 재배포 금지

본 콘텐츠는 뉴스픽 파트너스에서 공유된 콘텐츠입니다.

다음 내용이 궁금하다면?
광고 보고 계속 읽기
원치 않을 경우 뒤로가기를 눌러주세요

실시간 키워드

  1. -
  2. -
  3. -
  4. -
  5. -
  6. -
  7. -
  8. -
  9. -
  10. -

0000.00.00 00:00 기준

이 시각 주요뉴스

알림 문구가 한줄로 들어가는 영역입니다

신고하기

작성 아이디가 들어갑니다

내용 내용이 최대 두 줄로 노출됩니다

신고 사유를 선택하세요

이 이야기를
공유하세요

이 콘텐츠를 공유하세요.

콘텐츠 공유하고 수익 받는 방법이 궁금하다면👋>
주소가 복사되었습니다.
유튜브로 이동하여 공유해 주세요.
유튜브 활용 방법 알아보기