-
필립스코리아, 삼성메디슨, GE헬스케어가 3월 20일부터 23일까지 서울 코엑스에서 열리는 ‘KIMES 2025’에서 최신 초음파 기술을 선보인다.
초음파 기술은 방사선 노출 없이 실시간 영상을 제공하며, 심장, 간, 비뇨기과, 산부인과 등 다양한 임상 분야에서 활용할 수 있는 필수적인 진단 도구로 자리 잡고 있다. X-ray나 CT와 달리 방사선 노출이 없으며, MRI보다 검사 속도가 빠르고 비용 부담이 적어 의료 현장에서 광범위하게 사용된다. 특히 AI 및 자동화 기술과 결합하면서 검사 속도를 높이고 의료진의 업무 부담을 줄이는 데 기여하고 있다.
이번 전시에서는 필립스, 삼성메디슨, GE헬스케어가 AI 기반 자동 측정, 영상 분석, 자동 프레임 선택 등의 자동화 기능을 적용한 최신 초음파 기술을 선보이며, 의료 영상 진단의 정밀성과 효율성을 극대화하는 방안을 제시할 예정이다. 필립스는 AI 기반 자동화 솔루션을 활용한 심장 진단 정밀도 개선과 간 섬유화 검사의 효율성을 강조하고 있으며, 삼성은 산부인과 및 비뇨기과 특화 솔루션을, GE헬스케어는 휴대용 초음파 및 트레이닝 솔루션을 중심으로 차별화된 기술을 공개할 예정이다.
-
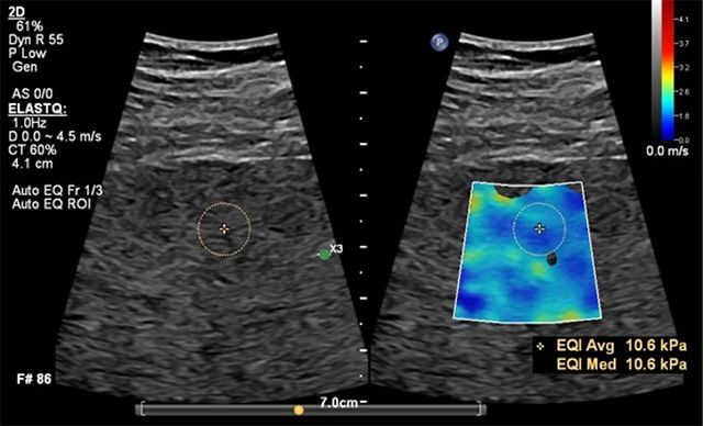
필립스코리아는 AI 기반 자동화 솔루션을 탑재해 심장 진단의 정밀도를 높인 ‘어피니티(Affiniti) VM 11.0’, 간 섬유화 검사 기능인 ‘오토 엘라스트큐(Auto ElastQ)’를 추가한 ‘에픽 엘리트(EPIQ Elite - VM 12.0)’ 등 다양한 임상 분과에서 활용할 수 있는 최신 초음파 포트폴리오를 전시한다. 특히 에픽 엘리트는 AI 기반 자동 프레임 분석과 자동 설정 기능을 통해 검사 시간을 60% 단축하고 조작 횟수를 29% 줄여 의료진의 업무 효율을 높이는 것이 특징이다.
-
삼성메디슨과 삼성전자 의료기기사업부는 산부인과용 ‘헤라 Z20(HERA Z20)’과 비뇨기과 생검 정확도를 높인 ‘BCL 프로브’, 전립선 검사 시 환자 부담을 줄이는 ‘miniER7’ 프로브 등 산부인과·비뇨기과에 특화한 초음파 진단기기를 전시한다. 이와 함께 영상 품질을 개선한 ‘RS85’와 ‘V8’ 모델도 선보이며, 분과별 맞춤형 솔루션을 강조할 예정이다.
-
GE헬스케어는 휴대용 무선 초음파 ‘브이스캔 에어(Vscan Air™)’ 시리즈와 함께 의료진의 초음파 기기 활용을 돕는 버츄얼 트레이닝 앱 ‘Vscan Air™ PT(Personal Trainer)’를 처음으로 공개한다. 이 앱은 브이스캔 에어 CL(Convex & Linear) 및 SL(Sector & Linear) 모델과 연동되어 사용법을 가이드하고, 실제 임상 환경에서 효과적으로 활용할 수 있도록 돕는 기능을 제공해 의료진이 초음파 기기 활용법을 학습 및 시뮬레이션할 수 있도록 지원한다. 이번 KIMES 2025에서는 해다 앱의 시연을 진행할 예정이다.
AI와 자동화 기술이 접목된 초음파 기술은 의료 영상 분석의 신속성과 정확성을 높이고, 원격 진단, 자동 질병 탐지, 실시간 환자 모니터링 등의 기능을 강화해 의료진의 진단 효율성을 높일 것으로 기대된다. 이러한 기술 발전은 의료 영상 시장이 더 정밀하고 직관적인 진단 시스템으로 발전하는 데 핵심적인 역할을 할 전망이다. 이번 KIMES 2025에서는 글로벌 의료기기 기업들이 경쟁적으로 차세대 초음파 기술을 선보이며, 의료 영상 시장이 AI 기반 정밀 진단과 자동화된 분석 기술로 빠르게 변화하고 있음을 보여줄 예정이다.
- 김정아 기자 jungya@chosun.com
최신뉴스
본 콘텐츠는 뉴스픽 파트너스에서 공유된 콘텐츠입니다.


