발목 부러졌는데 하나도 안아프다는 여자의 11개월 뒤 근황

실시간 키워드

2022.08.01 00:00 기준

발목 부러졌는데 하나도 안아프다는 여자의 11개월 뒤 근황

유머갤럭시 2025-03-10 12:03:40 신고

올해 1월에 부러지고 12월에 철심빼는 회복기

빙판길에서 자빠져 발목 부러져서 수술
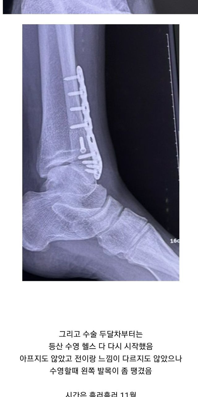
수술했는데 하나도 안아픔

한달 뒤 멀쩡하게 걸어다녀서 나중에 의사가 보고 화들짝 
병원직원들한테 박수받음

원래는 1년뒤 철심빼기로 했는데 백수되고 한가해서 이참에 하자고 수술날짜 땡겨서 1월초로 수술 잡힘

근데 어차피 시간 남아돌아서 지금하는게 나을거같길래 또 땡겨서 12월에 수술

다음날 걸어다니는거 보고 의사 또 화들짝 바로 퇴원함

그리고 2024년 1월달에 한라산 등산할거라 실밥좀 풀어달라했는데 거절

몸 인증도 했는데 자기 운동 좋아해서 다양하게 한다고 함 

Copyright ⓒ 유머갤럭시 무단 전재 및 재배포 금지

본 콘텐츠는 뉴스픽 파트너스에서 공유된 콘텐츠입니다.

다음 내용이 궁금하다면?
광고 보고 계속 읽기
원치 않을 경우 뒤로가기를 눌러주세요

실시간 키워드

  1. -
  2. -
  3. -
  4. -
  5. -
  6. -
  7. -
  8. -
  9. -
  10. -

0000.00.00 00:00 기준

이 시각 주요뉴스

알림 문구가 한줄로 들어가는 영역입니다

신고하기

작성 아이디가 들어갑니다

내용 내용이 최대 두 줄로 노출됩니다

신고 사유를 선택하세요

이 이야기를
공유하세요

이 콘텐츠를 공유하세요.

콘텐츠 공유하고 수익 받는 방법이 궁금하다면👋>
주소가 복사되었습니다.
유튜브로 이동하여 공유해 주세요.
유튜브 활용 방법 알아보기