"뇌에 숟가락 한개씩…" 미세플라스틱 탓 치매 가능성 걱정까지

실시간 키워드

2022.08.01 00:00 기준

"뇌에 숟가락 한개씩…" 미세플라스틱 탓 치매 가능성 걱정까지

연합뉴스 2025-02-04 16:02:33 신고

3줄요약

美대학 해부 연구결과…8년새 일부 장기에 7∼30배 증가

치매환자 뇌에 3∼5배…"질병 연관성 증거 없지만 추가연구 필요"

"보통 건강한 사람들 뇌 속에 플라스틱 숟가락 하나씩 들어있다" [EPA 연합뉴스 자료사진. 재판매 및 DB 금지]

"보통 건강한 사람들 뇌 속에 플라스틱 숟가락 하나씩 들어있다" [EPA 연합뉴스 자료사진. 재판매 및 DB 금지]

(서울=연합뉴스) 장재은 기자 = 미세플라스틱이 질병을 부를 가능성까지 의심할 정도로 인체를 급속히 오염시키고 있는 것으로 나타났다.

미국 뉴멕시코대 연구진은 시신을 수십구 해부해 미세플라스틱의 인체 오염도 추이를 조사한 논문을 학술지 네이처메디신에 3일(현지시간) 게재했다.

논문에 따르면 2024년 초 시신들의 신장과 간에서는 2016년 시신들보다 7∼30배 많은 미세플라스틱이 측정됐다.

이는 에베레스트에서부터 마리아나 해구까지 광범위하게 퍼진 미세플라스틱이 사람들 장기에도 점점 많이 쌓이고 있다는 점을 시사한다.

특히 연구진은 예민한 기관인 두뇌에서도 2016년보다 2024년에 50% 많은 미세플라스틱을 관찰됐다.

논문의 공동 저자인 매슈 캠펜 교수는 CNN에 "평균 45∼50세 정도인 보통 사람들의 뇌 조직에서 우리가 관측한 농도는 1g당 4천800μg(마이크로그램·100만분의 1g)이며 무게로 따질 때 0.48%"이라고 말했다.

그는 "현재 우리 뇌가 99.5%는 뇌이고 나머지는 플라스틱인 셈"이라며 머리에 플라스틱 숟가락이 한 개씩 온전히 들어있는 것이라고 설명했다.

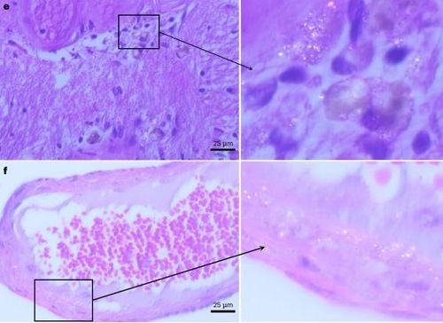
연구진은 사망 전에 치매 진단을 받은 이들의 두뇌에서는 파편 같은 플라스틱 조각이 건강한 이들보다 3∼5배 많다는 점을 주목했다.

이들 플라스틱 조각은 맨눈으로 볼 수 있는 수준보다 작으며 동맥과 정맥의 벽, 두뇌 면역세포에 집중된 것으로 나타났다.

뇌 속에 있는 미세 플라스틱 [네이처 메디신 학술지 캡처. 재판매 및 DB 금지]

뇌 속에 있는 미세 플라스틱 [네이처 메디신 학술지 캡처. 재판매 및 DB 금지]

캠펜 교수는 "좀 충격적"이라며 "치매가 혈액뇌장벽(BBB·뇌와 혈액을 격리시키는 혈관 장벽)과 노폐물 제거 메커니즘이 손상되는 질병이라는 점을 기억해야 한다"고 말했다.

치매 환자의 뇌는 미세플라스틱 농도가 높을 뿐만 아니라 염증세포와 뇌 조직의 위축으로 플라스틱이 빨려드는 곳이 형성돼 있기도 했다.

캠펜 교수는 "미세플라스틱이 치매 때문에 증가했을 가능성이 크기 때문에 이런 결과를 해석할 때 매우 주의해야 한다"며 "우리는 현재로서는 미세플라스틱이 치매를 유발할 수 있다고는 추정하지 않는다"고 말했다.

연구에 참여하지 않은 피비 스테이플턴 미국 럿거스대 교수는 플라스틱이 뇌에 쌓였다고 해서 그게 질병을 부른 것으로 증명되진 않는다고 지적했다.

그는 "플라스틱 입자들이 흐르면서 뇌를 들락거리는지, 신경조직에 축적되는지, 질병을 촉진하는지 불확실하다"며 "입자들이 세포와 어떻게 상호작용하는지, 독성학적 결과가 있는지 추가 연구가 필요하다"고 설명했다.

미세플라스틱이 특정 질병을 일으킨다는 명백한 증거는 아직 없지만 보건에 악영향을 끼칠 가능성을 신중하게 경계해야 한다는 공감대는 존재한다.

캠펜 교수는 "마이크로, 나노 플라스틱의 환경적 존재감이 기하급수적으로 커진다는 점을 고려할 때 이들이 신경질환 등 인체 건강 문제에 어떤 역할을 하는지 알아내려고 더 노력할 필요가 있다"고 말했다.

미세플라스틱은 비닐봉지, 물병처럼 일상에서 흔히 소비하는 플라스틱 도구에서 떨어져나온 작은 입자로 음식, 물, 호흡을 통해 인체에 들어간다.

에베레스트에서 마리아나 해구까지 널리 오염시킨 미세 플라스틱 [EPA 연합뉴스 자료사진. 재판매 및 DB 금지]

에베레스트에서 마리아나 해구까지 널리 오염시킨 미세 플라스틱 [EPA 연합뉴스 자료사진. 재판매 및 DB 금지]

jangje@yna.co.kr

Copyright ⓒ 연합뉴스 무단 전재 및 재배포 금지

본 콘텐츠는 뉴스픽 파트너스에서 공유된 콘텐츠입니다.

다음 내용이 궁금하다면?
광고 보고 계속 읽기
원치 않을 경우 뒤로가기를 눌러주세요

실시간 키워드

  1. -
  2. -
  3. -
  4. -
  5. -
  6. -
  7. -
  8. -
  9. -
  10. -

0000.00.00 00:00 기준

이 시각 주요뉴스

알림 문구가 한줄로 들어가는 영역입니다

신고하기

작성 아이디가 들어갑니다

내용 내용이 최대 두 줄로 노출됩니다

신고 사유를 선택하세요

이 이야기를
공유하세요

이 콘텐츠를 공유하세요.

콘텐츠 공유하고 수익 받는 방법이 궁금하다면👋>
주소가 복사되었습니다.
유튜브로 이동하여 공유해 주세요.
유튜브 활용 방법 알아보기