대단하게 미친 노벨상 수상자 

실시간 키워드

2022.08.01 00:00 기준

대단하게 미친 노벨상 수상자 

유머갤럭시 2025-01-07 03:19:38 신고

1956년 노벨상을 수상한 베르너 포르스만

심장카테터법 개발의 공로를 인정받아

노벨 생리의학상을 수상했다

심장카테터법의 실험 과정이 좀 특이한데..

간략하게 보면 다음과 같다

1. 동물 실험 패스

베르너는 카테터를 심장에 삽입하면 약물 직접전달, 방사선 불투과성염료 주사 등에 용이할 거라고 생각,

동료의사들과 당시 병원 외과 과장 슈나이더에게 심장카테터법을 제안함

그러나 당시 심장은 건드리면 안된다는게 학계 주류관점이었고, 실험 안정성도 확보해야 한다고 봤기에 

슈나이더는 동물 실험을 먼저 하기를 권함

그걸 다 들은 베르너는 이건 완전 안전하다고 믿어서 패스하기로 함

2.  셀프 실험 수술실 간호사에게 모든 실험 과정과 세부사항을 설명하면서 설득함 그 간호사가 필요한 외과용 기구를 감독하고 있었기에 당연히 협조가 필요했고 이주일의 설득 후 간호사는 실험을 도움과 동시에 자기가 최초 대상자가 되겠다고 까지 약속함   실험 당시 의자에 앉으려는 간호사를 부분마취의 부작용을 핑계로 수술대에 눕히고 수술대에 간호사를 묶고 간호사의 왼팔을 절개하는 준비…. 를 하는 척 하면서 본인을 국소마취하고 본인의 팔을 절개후 카테터를 밀어넣음  
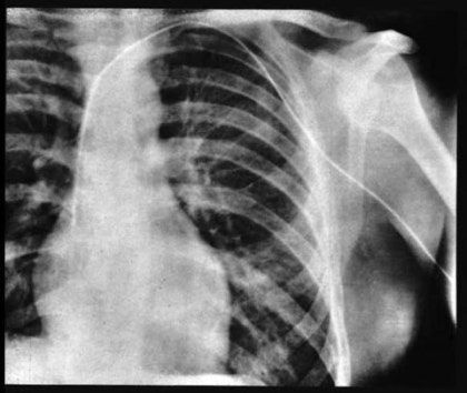
간호사는 당연히 놀라서 비명을 질렀지만 손발이 묶여있었고.. 그 동안 베르너는 조영제까지 투여 후 간호사를 풀어줌 이미 했는데 시발 어떻게 할 수도 없고 둘이 같이 X-ray실에 감   3. 노벨상킥 그렇게 X-ray실로 갔을 때 소동을 들은 베르너의 친구가 와서 카데터를 뽑으려고 함 당시 심장에 이물질이 들어가면 죽는다고 생각했기 때문에, 친구를 살리려고 한 거였음 자신을 살리려는 친구에게 베르너는 발차기를 먹여서 꼼짝 못하게 한 후 엑스레이를 통해 카테터의 끝이 심장에 도달한 것을 찍음    
위에서 그에게 동의한 슈나이더는 그 소동을 듣고 완전 화가 났지만  그래도 이후 임상까지 도와줬다고 함 당시 그의 나이 25세의 인턴 화타+관우의 조합..

Copyright ⓒ 유머갤럭시 무단 전재 및 재배포 금지

본 콘텐츠는 뉴스픽 파트너스에서 공유된 콘텐츠입니다.

다음 내용이 궁금하다면?
광고 보고 계속 읽기
원치 않을 경우 뒤로가기를 눌러주세요

실시간 키워드

  1. -
  2. -
  3. -
  4. -
  5. -
  6. -
  7. -
  8. -
  9. -
  10. -

0000.00.00 00:00 기준

이 시각 주요뉴스

알림 문구가 한줄로 들어가는 영역입니다

신고하기

작성 아이디가 들어갑니다

내용 내용이 최대 두 줄로 노출됩니다

신고 사유를 선택하세요

이 이야기를
공유하세요

이 콘텐츠를 공유하세요.

콘텐츠 공유하고 수익 받는 방법이 궁금하다면👋>
주소가 복사되었습니다.
유튜브로 이동하여 공유해 주세요.
유튜브 활용 방법 알아보기