이안동물의학센터, AI 기반 MRI 촬영 1000건 달성

실시간 키워드

2022.08.01 00:00 기준

이안동물의학센터, AI 기반 MRI 촬영 1000건 달성

메디먼트뉴스 2025-01-02 15:04:00 신고

3줄요약
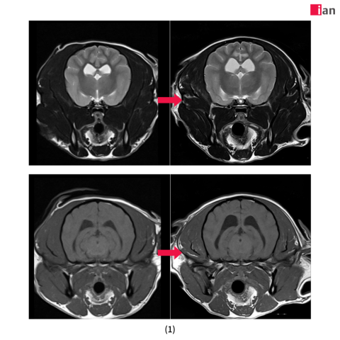
AI 도입 후 품질이 개선된 MRI 영상 사진
AI 도입 후 품질이 개선된 MRI 영상 사진

[메디먼트뉴스 박민우 기자] 이안동물의학센터가 국내 동물병원 중 최초로 도입한 AI 기반 MRI 소프트웨어를 활용해 1000건 이상의 MRI 촬영을 완료하며 동물영상의학 분야에서 한 차원 높은 기술 혁신을 이뤄냈다. 이를 통해 이안동물의학센터는 전문성과 신뢰성을 바탕으로 한 고도화된 의료 서비스를 선보이며 업계 선도주자로서의 입지를 더욱 공고히 하고 있다.

2023년 말 최첨단 AI MRI 소프트웨어를 도입한 이안동물의학센터는 촬영 시간 단축과 영상 품질 극대화라는 두 마리 토끼를 동시에 잡았다. 딥러닝 알고리즘을 통한 이미지 재구성과 노이즈 제거, 선명도 향상은 보다 신속하고 정확한 진단을 가능하게 했으며, 보호자와 반려동물 모두에게 높은 만족도를 제공하고 있다.

특히 AI 소프트웨어 도입 이후 촬영 시간이 기존 대비 최대 절반으로 줄어드는 등 검사 효율성이 크게 향상됐다. 이는 보호자들의 시간적 부담을 덜어줄 뿐 아니라 환자의 마취 시간 단축으로 검사 안전성을 더욱 높이는 효과를 가져왔다. 또한 이미지 퀄리티 향상으로 정밀한 판독이 가능해져 질병의 조기 발견과 정확한 진단을 통한 치료 전략 수립에 커다란 진전을 이뤄냈다. 여기에 이안동물의학센터 전담 마취팀의 철저한 관리까지 더해져 반려동물 검사 전 과정에서 신뢰도 높은 의료 서비스를 제공하고 있다.

이안동물의학센터는 이번 1000건 돌파는 우리 센터가 지속적으로 추구해온 기술 혁신과 전문성 강화의 결실이라며, 앞으로도 최첨단 의료 기술을 적극 활용해 반려동물에게 최상의 진단과 치료 환경을 제공하겠다고 밝혔다.

서울 강남구 선릉로에 위치한 이안동물의학센터는 풍부한 임상 경험과 혁신적 기술 도입을 바탕으로 동물영상의학 분야의 새로운 지평을 열어가고 있다. AI 기반 MRI 및 CT 기술을 통해 신속하면서도 정밀한 진단을 제공하며, 반려동물 의료 서비스의 새로운 기준을 제시하고 있다.

이안동물의학센터 소개

이안동물의학센터는 2005년 국내 최초 동물영상의학 분야에 설립된 전문병원으로, 지금까지 가장 많은 환자의 MRI와 CT 영상 검사를 진행하고 있다. 동물영상의학 분야에 집중하기 위해 다양한 분과 전문가가 모여 가치관 경영과 시스템 체계화를 통해 최고의 성과를 내고 있다. 이안은 병원 설립 이후부터 쌓아온 국내 최대의 임상 데이터를 기반으로 고품질의 영상을 촬영하며, 전문 판독의가 정확한 판독을 한다. 또한 안전한 검사를 위해 국내 최초 동물병원 마취팀을 운영하며 마취통증의학과 석박사가 포함된 마취팀이 축적된 진료 노하우를 바탕으로 환자를 담당한다. 아울러 2023년부터 인공지능(AI) 기술을 도입해 영상의 화질과 해상도를 향상시켜 진단의 정확성을 높였으며, 신속한 촬영을 통해 마취로 인한 위험도 감소시켰다. 이안동물의학센터는 앞으로도 더 정확한 판독, 더 안전한 검사, 더 신속한 촬영을 하기 위해 노력해나갈 것이다.

 

Copyright ⓒ 메디먼트뉴스 무단 전재 및 재배포 금지

본 콘텐츠는 뉴스픽 파트너스에서 공유된 콘텐츠입니다.

다음 내용이 궁금하다면?
광고 보고 계속 읽기
원치 않을 경우 뒤로가기를 눌러주세요

실시간 키워드

  1. -
  2. -
  3. -
  4. -
  5. -
  6. -
  7. -
  8. -
  9. -
  10. -

0000.00.00 00:00 기준

이 시각 주요뉴스

알림 문구가 한줄로 들어가는 영역입니다

신고하기

작성 아이디가 들어갑니다

내용 내용이 최대 두 줄로 노출됩니다

신고 사유를 선택하세요

이 이야기를
공유하세요

이 콘텐츠를 공유하세요.

콘텐츠 공유하고 수익 받는 방법이 궁금하다면👋>
주소가 복사되었습니다.
유튜브로 이동하여 공유해 주세요.
유튜브 활용 방법 알아보기