‘날것 함부로 먹다가’…뇌 속 희귀 기생충 감염 원인은

실시간 키워드

2022.08.01 00:00 기준

‘날것 함부로 먹다가’…뇌 속 희귀 기생충 감염 원인은

데일리 포스트 2024-12-30 16:35:00 신고

3줄요약
©데일리포스트=사진 좌측 서울대병원 신경외과 백선하 교수-(사진 우측) 순천향대서울병원 박혜란 교수 / 서울대병원 제공
©데일리포스트=사진 좌측 서울대병원 신경외과 백선하 교수-(사진 우측) 순천향대서울병원 박혜란 교수 / 서울대병원 제공

|데일리포스트=송협 대표기자| “스파르가눔증 증상은 매우 드문 기생충 감염 질환이지만 오염된 물이나 제대로 익히지 않은 음식을 섭취했을 때 발생할 수 있습니다. 무엇보다 영상 검사에서 병변이 이동하는 경우 기생충 감염 가능성을 고려해야 하며 오염된 물을 피하고 야생 동물의 고기 또는 생선을 충분히 익혀서 섭취하는 등 개인 위생 수칙을 지키는 것이 예방의 핵심입니다.” (서울대병원 백선하 신경외과 교수)

극심한 두통과 전신 발작으로 뇌종양이 의심됐던 환자의 뇌 MRI 검사 결과 뇌에 침투한 희귀 기생충에 감염된 것으로 확인돼 의료진이 환자의 뇌에서 살아있는 기생충을 성공적으로 제거하면서 기생충 감염의 조기 진단과 치료의 중요성을 강조했다.

서울대병원 신경외과 백선하 교수와 순천향대서울병원 신경외과 박혜란 교수 공동 연구팀은 스파르가눔증 기생충 감염으로 서울대병원에 내원한 환자의 병변을 정밀하게 진단하고 개두술을 통해 살아있는 기생충을 제거했다.

스파르가눔증은 유충이 체내에 침투해 혈류를 통해 뇌로 이동하며 발생하는 드문 기생충 감염 질환이다. 감염은 주로 오염된 물을 마시거나 익히지 않은 야생 동물의 고기 또는 생선을 섭취했을 때 발생하며, 드물게 피부 상처를 통해 전파되기도 한다. 감염된 기생충이 뇌로 이동하면 두통과 구토 같은 초기 증상이 나타나며, 시간이 지나면서 발작, 시야 결손, 감각 이상 등 심각한 신경학적 문제로 이어질 수 있다.

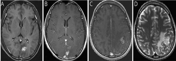
[예시] (A) 초기 뇌 MRI에서 좌측 후두엽에 조영증강된 종괴가 관찰됨 (B) 3개월 뒤 시행한 뇌 MRI에서 좌측 후두엽의 종괴가 사라짐 (C) 8개월 뒤 시행한 뇌 MRI에서 좌측 두정엽에 새롭게 조영증강된 종괴가 발견됨 (D) 좌측 두정엽 종괴 주변에 심한 뇌부종이 동반된 모습이 확인됐다. / 서울대병원제공
[예시] (A) 초기 뇌 MRI에서 좌측 후두엽에 조영증강된 종괴가 관찰됨 (B) 3개월 뒤 시행한 뇌 MRI에서 좌측 후두엽의 종괴가 사라짐 (C) 8개월 뒤 시행한 뇌 MRI에서 좌측 두정엽에 새롭게 조영증강된 종괴가 발견됨 (D) 좌측 두정엽 종괴 주변에 심한 뇌부종이 동반된 모습이 확인됐다. / 서울대병원제공

이번 연구는 서울대병원에 내원한 40대 여성 환자를 대상으로 이루어졌다. 환자는 심한 두통과 구토 증세로 병원을 방문했으며, 초기 뇌 MRI에서 좌측 후두엽에 불규칙하게 조영된 종양성 병변이 발견되어 뇌종양이 의심됐다. 의료진은 수술을 권유했지만, 환자는 증상이 일시적으로 호전되자 치료를 거부하고 퇴원했다.

환자는 7개월 후 다시 극심한 두통과 전신 발작으로 병원을 방문했다. 후속 MRI에서 병변이 좌측 후두엽에서 좌측 두정엽으로 이동한 것이 확인됐고, 이 병변 이동은 스파르가눔증의 대표적인 진단 단서가 됐다. 환자는 과거 오염된 연못물을 마시고, 날생선 및 익히지 않은 야생 동물 고기를 섭취한 이력이 있어 의료진은 기생충 감염을 염두에 두고 ELISA 검사와 정위적 생검을 시행했다.

검사 결과, ELISA 검사와 뇌척수액(CSF) 검사에서 스파르가눔증 항체가 검출됐으며, 정위적 생검에서는 염증성 육아종이 확인됐다. 이후 개두술을 통해 살아있는 스파르가눔증 유충을 성공적으로 제거했다. 수술 과정에서 기생충이 살아 움직이는 모습은 영상으로 기록됐다.

순천향대서울병원 박혜란 신경외과 교수는 “스파르가눔증 감염은 조기에 발견하고 치료하는 것이 중요하다.”며 “치료가 지연되면 기생충에 의한 신경 손상이 영구적으로 남을 수 있기 때문”이라고 강조했다.

Copyright ⓒ 데일리 포스트 무단 전재 및 재배포 금지

본 콘텐츠는 뉴스픽 파트너스에서 공유된 콘텐츠입니다.

다음 내용이 궁금하다면?
광고 보고 계속 읽기
원치 않을 경우 뒤로가기를 눌러주세요

실시간 키워드

  1. -
  2. -
  3. -
  4. -
  5. -
  6. -
  7. -
  8. -
  9. -
  10. -

0000.00.00 00:00 기준

이 시각 주요뉴스

알림 문구가 한줄로 들어가는 영역입니다

신고하기

작성 아이디가 들어갑니다

내용 내용이 최대 두 줄로 노출됩니다

신고 사유를 선택하세요

이 이야기를
공유하세요

이 콘텐츠를 공유하세요.

콘텐츠 공유하고 수익 받는 방법이 궁금하다면👋>
주소가 복사되었습니다.
유튜브로 이동하여 공유해 주세요.
유튜브 활용 방법 알아보기