“소아 발목 성장판 골절, ‘생체흡수성 나사’로 치료 부담 ↓”

실시간 키워드

2022.08.01 00:00 기준

“소아 발목 성장판 골절, ‘생체흡수성 나사’로 치료 부담 ↓”

헬스위크 2024-12-18 09:33:38 신고

3줄요약

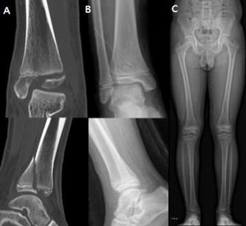
▲ 사진제공=분당서울대학교병원 

분당서울대학교병원 정형외과 성기혁 교수 연구팀이 소아의 발목 성장판 골절 치료에 사용하는 생체흡수성 나사와 금속 나사를 이용한 수술 결과를 비교한 연구 결과를 발표했다.

발목 성장판 골절은 뼈의 성장에 중요한 역할을 하는 성장판을 포함하는 발목 부위가 손상된 것을 말하며, 10세 전후의 소아에게 흔하게 발생한다. 골절 부위의 뼛조각이 정상 위치에서 크게 어긋날 경우, 제대로 붙지 않거나 성장판이 손상돼 다리 변형이나 길이 차이가 생길 위험이 있어 수술적 치료가 필수적이다.

골절 부위를 고정하기 위해서는 나사가 사용되는데, 이 때 금속 나사를 사용하는 경우 나사를 제거하기 위한 2차 수술이 필요해 환자와 가족에게 부담을 야기할 수 있다. 이에, 최근에는 시간이 지나면 몸속에서 자연적으로 분해·흡수돼 추가 수술이 필요 없는 생체흡수성 나사가 효과적인 대안으로 주목받고 있다.


▲ 분당서울대학교병원 정형외과 성기혁 교수
그간 성인 골절 환자를 대상으로 생체흡수성 나사를 이용한 수술 결과는 보고된 바 있으나, 소아 환자를 대상으로는 관련 연구가 거의 이뤄지지 않은 실정이었다. 이에, 연구팀은 발목에 성장판 골절이 있는 소아 환자를 대상으로 생체흡수성 나사 및 금속 나사를 이용했을 때 수술 결과를 비교하는 연구를 진행했다.

연구팀은 발목 성장판 골절로 수술을 받은 15세 이하의 환아 67명을 대상으로, 금속 나사(40명)와 생체흡수성 나사(27명)를 이용한 수술 결과를 비교했다. 그 결과, 두 군 모두에서 성장판 손상 비율, 수술 시간, 수술 후 발목 기능이 우수했으며, 수술 후 감염, 상처 등 합병증 또한 없어 유의미한 차이 없이 동등한 치료 결과를 보였다.

하지만 입원 기간에 차이가 있었는데, 생체흡수성 나사를 이용한 수술을 받은 환자군의 평균 입원 기간은 2.6일로, 금속 나사를 이용한 수술을 받은 환자군(5.2일)보다 절반가량 짧아 시간적 부담이 적은 것으로 나타났다. 특히, 연구팀은 생체흡수성 나사가 나사 제거를 위한 추가 수술이 필요하지 않기 때문에 전신 마취로 인한 위험을 피할 수 있다는 점에서 소아 환자에게 보다 안전한 대안으로서 활용될 수 있다고 제시했다.

성기혁 교수는 “생체흡수성 나사를 이용한 수술이 환자의 전반적인 치료 경험 개선에 기여할 수 있음을 보여준 연구”라며, “이번 연구를 기반으로 발목의 성장판 골절뿐만 아니라, 다른 부위의 골절이 발생한 환자들에게도 생체흡수성 나사의 사용의 효과성을 알아보기 위한 연구를 이어나갈 것”이라고 밝혔다.

한편, 이번 연구 결과는 SCI급 정형외과 분야 국제 학술지 ‘International Orthopaedics’에 게재됐다.

Copyright ⓒ 헬스위크 무단 전재 및 재배포 금지

본 콘텐츠는 뉴스픽 파트너스에서 공유된 콘텐츠입니다.

다음 내용이 궁금하다면?
광고 보고 계속 읽기
원치 않을 경우 뒤로가기를 눌러주세요

실시간 키워드

  1. -
  2. -
  3. -
  4. -
  5. -
  6. -
  7. -
  8. -
  9. -
  10. -

0000.00.00 00:00 기준

이 시각 주요뉴스

알림 문구가 한줄로 들어가는 영역입니다

신고하기

작성 아이디가 들어갑니다

내용 내용이 최대 두 줄로 노출됩니다

신고 사유를 선택하세요

이 이야기를
공유하세요

이 콘텐츠를 공유하세요.

콘텐츠 공유하고 수익 받는 방법이 궁금하다면👋>
주소가 복사되었습니다.
유튜브로 이동하여 공유해 주세요.
유튜브 활용 방법 알아보기