-
3세대 인공고관절 전치환술의 장기 안정성이 우수한 것으로 확인됐다.
서울대병원 정형외과 김홍석·유정준 교수팀은 3세대 세라믹 인공고관절 전치환술의 장기 안정성을 확인하기 위한 장기 추적 관찰 결과, 우수한 안정성을 확인했다고 13일 발표했다.
-
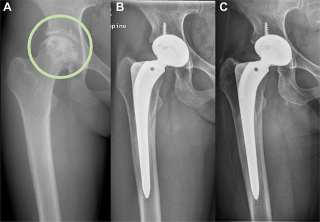
연구팀은 1997년 11월부터 1998년 4월까지 3세대 세라믹-세라믹 관절면 인공고관절 전치환술을 받은 57명을 25년 이상 추적 관찰했다.
분석 결과, 25년간 인공고관절 교체 또는 재수술 없이 장치를 유지한 비율(생존율)은 96.3%였다. 또한, 통증·운동범위·걸음걸이 등을 종합하여 고관절 기능을 평가하는 해리스 점수는 평균 90.1점으로 우수했다.
영상 분석 결과, 주요 합병증인 인공관절 주변부 골용해(관절면 마모 및 감염 등으로 인하여 뼈조직이 파괴되는 현상) 및 인공관절 해리(뼈와 인공관절이 분리되는 현상)도 발견되지 않았다.
한편, 세라믹 관련 소음 발생률은 추적 기간이 길어짐에 따라 증가했지만, 고관절 기능 및 환자 만족도에는 부정적 영향을 미치지 않았다.
골반과 다리를 연결하는 고관절(엉덩이 관절)은 우리 몸의 관절 중 가장 무거운 하중을 견디는 부위다. 고관절염, 골 괴사, 골절 등으로 인해 고관절이 심각하게 손상된 경우 인공관절로 대체하는 ‘인공고관절 전치환술’을 실시해 치료한다. 이 수술은 비교적 젊은 환자에게도 많이 시행되는데, 수술 후 평생 인공고관절을 유지해야 하므로 젊은 환자일수록 장기적인 수명과 안정성이 중요하다.
인공고관절에서 기존 관절의 역할을 하는 관절면(베어링)은 인공고관절의 수명에 결정적인 역할을 한다. 특히 3세대 인공고관절에 사용되는 세라믹 관절면은 폴리에틸렌 플라스틱 관절면보다 합병증이 적고 수명이 길다.
이번 연구에 앞서 같은 환자군을 대상으로 5년 및 10년 추적 관찰 연구를 실시해 3세대 세라믹 인공고관절의 우수성을 입증했던 연구팀은 이번 연구를 통해 3세대 세라믹 인공고관절 전치환술이 장기적으로도 우수한 성능을 입증했다고 밝혔다. 특히 이 치료법은 젊고 활동적인 환자들에게 유효한 선택이 될 수 있다고 설명했다.
이번 연구 결과는 ‘인공관절 저널(The Journal of Arthroplasty)’에 최근호에 게재됐다.
김홍석 교수는 “최장기간의 추적 관찰을 통해 3세대 세라믹 인공고관절의 안정성을 입증한 이번 연구는 인공고관절 전치환술을 받았거나, 받아야 할 환자들에게 좋은 가이드라인이 될 것”이라며 “앞으로도 추적 관찰을 지속하여 우수한 수술 결과를 얻을 수 있도록 최선을 다하겠다”고 말했다.
- 김정아 기자 jungya@chosun.com
최신뉴스
본 콘텐츠는 뉴스픽 파트너스에서 공유된 콘텐츠입니다.
