현대바이오, 반려견 전용 '무고통' 항암제 임상3상 착수

실시간 키워드

2022.08.01 00:00 기준

현대바이오, 반려견 전용 '무고통' 항암제 임상3상 착수

포인트경제 2024-11-13 13:40:12 신고

3줄요약

암 걸린 반려견에 '폴리탁셀' 안전성·효능 입증
"30여 년 만에 부작용 나타나지 않는 항암제 처음"
3주 만에 종양 76% 감소, 전이 종양도 74% 줄어
췌장암 환자 대상 임상 결과에도 '청신호'

[포인트경제] 현대바이오사이언스가 개발한 '무고통' 항암제가 사람은 물론 반려견 전용 항암제로도 기대감이 높아지고 있다.

13일 현대바이오는 정상세포를 손상하지 않고 암세포에만 약효가 집중되도록 개발한 이른바 '무고통'(pain-free) 항암제인 폴리탁셀(Polytaxel)을 반려견에게도 처방 가능한 반려견 전용 항암제로 품목허가를 내년까지 받기 위해 반려견을 대상으로 투약 실험을 진행 중이라고 발표했다.

폴리탁셀은 지난 2019년 췌장암 이식 쥐를 모델로 한 실험에서도 실험체들의 체중 변화 없이 암조직 90.4% 감소, 생존율 100% 등의 결과를 보여 무고통 항암제 탄생에 대한 기대감을 키운 바 있다.

기존 화학항암제는 약물 독성이 심한 데다 항암치료시 최대무독성용량의 수십 배를 투약하기 때문에 항암제의 독성이 암세포는 물론 정상세포까지 손상시켜 환자들이 골수 기능 저하, 간·콩팥의 이상 증세, 체중 감소, 스트레스 수치 증가, 탈모 등의 고통을 겪는다. 그래서 환자들은 정상세포 회복을 위해 항암제 1회 투여 후 2~3주간 회복기를 반드시 가져야 한다.

반려견 대상 폴리탁셀 4.5mg/kg 항암효능시험 결과, 유선종양 크기.(좌)투약 전 유선종양 크기(가로 6.75cm-세로 2.92cm), (우)투약 후 유선종양 크기(가로 2.74cm-세로 1.67cm). /현대바이오 제공 반려견 대상 폴리탁셀 4.5mg/kg 항암효능시험 결과, 유선종양 크기.(좌)투약 전 유선종양 크기(가로 6.75cm-세로 2.92cm), (우)투약 후 유선종양 크기(가로 2.74cm-세로 1.67cm). /현대바이오 제공

현대바이오는 지난달 동물용 의약품 임상시험 전문 CRO인 '컬프'에서 동물실험윤리위원회 승인 아래 진행 중인 '반려견 항암제 임상3상을 위한 유효성 실험'에서 자연발생 유선암에 걸린 반려견에게 폴리탁셀을 투여한 결과, 뛰어난 안전성과 효능이 입증됐다고 밝혔다.

반려견 전용 항암제 품목허가를 위한 임상3상은 품목허가 승인권자인 농림부 산하 농림축산검역본부에 신청 절차를 거치는데, 현재 진행 중인 실험에 동원된 반려견 수는 3상 규모에 합산이 가능하다. 현대바이오가 이번 실험으로 임상3상에 사실상 착수했다는 의미로 볼 수 있다.

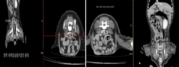
이번 실험에서는 반려견에게 폴리탁셀의 약물 부작용이 나타나지 않는 최대무독성용량(NOAEL) 이하인 4.5㎎/㎏을 회복기 없이 주 1회씩 3회 연속 투여하고 3주 후에 관찰한 결과, 유선종양 크기가 투약 전보다 무려 76.78% 감소했다. 특히 림프절에 전이된 종양 크기는 투약 전보다 74.01%나 줄어들어 폴리탁셀이 전이암 치료효과도 뛰어남을 입증했다.

폴리탁셀을 투여한 반려견은 간과 콩팥의 이상 증세, 체중 감소, 스트레스 수치 증가, 골수 억제 현상, 혈소판 감소 등이 관찰되지 않았고, 먹이까지 잘 먹었다고 한다. 암에 걸린 반려견은 대개 활력을 잃고 먹이도 잘 먹지 않는다.

이번 실험을 수행한 컬프의 황성호 원장은 "30년 넘게 동물시험을 수행했지만 간과 신장에 아무런 장애가 없고, 골수 기능의 저하 없이 뛰어난 항암효과가 나타나는 약물은 처음 경험했다"며 "이런 항암제가 있다면 누가 기존의 항암제를 선택하겠는가. 전 세계 반려견들에게 필요한 항암제가 바로 이런 부작용 없는 약물"이라고 말했다.

반려견 대상 폴리탁셀 4.5mg/kg 항암효능시험 결과, 림프절 전이암 크기. (좌)투약 전 림프절 전이암 크기(가로 10.06mm-세로 6.63mm-높이 19.35mm), (우)투약 후 림프절 전이암 크기(가로 5.91mm-세로 3.98mm-높이 14.26mm)./현대바이오 제공 반려견 대상 폴리탁셀 4.5mg/kg 항암효능시험 결과, 림프절 전이암 크기. (좌)투약 전 림프절 전이암 크기(가로 10.06mm-세로 6.63mm-높이 19.35mm), (우)투약 후 림프절 전이암 크기(가로 5.91mm-세로 3.98mm-높이 14.26mm)./현대바이오 제공

현대바이오는 폴리탁셀의 반려견 항암제 품목허가를 신속히 받기 위해 현재 진행 중인 유효성 실험에 이어 농림부에 임상 신청 후 개시되는 반려견 항암제 임상3상도 대규모로 진행하기로 했다.

현재 전 세계 반려견에게는 마땅한 전용 항암제가 없어 사람용 항암제를 쓰지만, 비용만 수백만~수천만 원이 들고, 이마저도 심한 약물 부작용 때문에 효과적인 항암치료를 제대로 못 하는 게 현실이다.

한편 이번 실험 결과로 사람을 위한 무고통 항암제 탄생 가능성도 한층 커졌다. 이와 관련, 현대바이오 오상기 대표는 "이번 반려견 실험 결과를 토대로 췌장암 환자 치료를 위한 폴리탁셀 임상계획도 신속히 마련해 보건당국에 신청하겠다"며 "무고통 항암제 시대를 여는 것이 회사의 목표"라고 말했다.

현대바이오사이언스 CI 현대바이오사이언스 CI

현대바이오 부사장 진근우 박사는 "5년 전 폴리탁셀은 췌장암 이식 쥐 모델에서 뛰어난 안전성과 효능을 입증한 바 있다"며 "폴리탁셀이 이번에 사람과 쥐보다 항암제의 독성과 부작용에 훨씬 민감한 반려견의 자연발생 유선암에 안전성과 효능을 입증함으로써 사람을 대상으로 한 임상의 성공 가능성도 그만큼 커졌다"고 말했다.

이번 실험에 참여한 반려견의 종양은 사람처럼 자연적으로 발생한 것으로, 반려견 실험 결과는 사람을 대상으로 한 임상 전망에 기대를 높여주고 있다.

Copyright ⓒ 포인트경제 무단 전재 및 재배포 금지

본 콘텐츠는 뉴스픽 파트너스에서 공유된 콘텐츠입니다.

다음 내용이 궁금하다면?
광고 보고 계속 읽기
원치 않을 경우 뒤로가기를 눌러주세요

실시간 키워드

  1. -
  2. -
  3. -
  4. -
  5. -
  6. -
  7. -
  8. -
  9. -
  10. -

0000.00.00 00:00 기준

이 시각 주요뉴스

알림 문구가 한줄로 들어가는 영역입니다

신고하기

작성 아이디가 들어갑니다

내용 내용이 최대 두 줄로 노출됩니다

신고 사유를 선택하세요

이 이야기를
공유하세요

이 콘텐츠를 공유하세요.

콘텐츠 공유하고 수익 받는 방법이 궁금하다면👋>
주소가 복사되었습니다.
유튜브로 이동하여 공유해 주세요.
유튜브 활용 방법 알아보기