딥노이드 “뇌동맥류 AI 솔루션 최초 비급여 청구 가능”

실시간 키워드

2022.08.01 00:00 기준

딥노이드 “뇌동맥류 AI 솔루션 최초 비급여 청구 가능”

이뉴스투데이 2024-11-01 17:15:00 신고

3줄요약
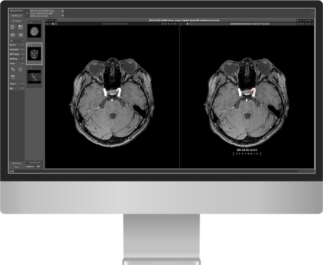
[사진=딥노이드]
[사진=딥노이드]

[이뉴스투데이 이승준 기자] 딥노이드는 자사 뇌동맥류 진단보조 AI솔루션 ‘DEEP:NEURO(딥뉴로)’가 비급여 코드를 획득했다고 1일 밝혔다. 의료기관은 환자에게 수가 비용을 청구할 수 있으며, 환자는 실손보험혜택을 받게 된다.

딥뉴로의 임시 등재로 실손보험혜택이 가능해지면서 안정적인 매출 확보에도 기여할 것으로 전망한다. 의료기관은 환자로부터 비용을 받고, 환자는 본인이 비용을 부담한 뒤 실손의료보험을 통해 일부 보전할 수 있게 된다.

딥노이드는 이번 비급여 코드 획득이 뇌 MRA 검사의 수요도 매출 견인에 도움을 줄 것으로 판단하고 있다. 뇌동맥류가 파열될 경우 장애나 후유증, 심할 경우 사망까지 이르게 되는데, 발생한다고 해서 반드시 수술해야 하는 것은 아니다. 케이스에 따라 추적관찰을 통해 관리하거나 비수술적 치료를 할 수도 있다. 환자는 뇌동맥류의 상태 변화나 치료 효과를 확인하기 위해 주기적으로 MRA 검사를 받게 된다.

최현석 딥노이드 의료총괄은 “이번 임시 등재는 해외 시장 진출에 있어서도 호재로 작용할 것으로 보고 있다”며 “싱가폴, 대만, 일본 등에서 협의 중인 공동연구와 비즈니스 파트너십 활동에 긍정적인 작용으로 해외 사업에 탄력을 줄 것”이라고 말했다.

최우식 딥노이드 대표는 “딥뉴로의 임시 등재는 임상적 가치를 인정받은 성과일 뿐 아니라 매출 확대를 위한 중요한 발판이 될 것”이라며 “임시 등재로 더 많은 병원에서 딥뉴로 도입을 기대하고 있고, 이를 동력원으로 삼아 AI 솔루션의 임상 적용을 확산시키고, 의료 현장에 실질적인 가치를 제공하는 혁신을 이어가겠다”고 강조했다.

Copyright ⓒ 이뉴스투데이 무단 전재 및 재배포 금지

본 콘텐츠는 뉴스픽 파트너스에서 공유된 콘텐츠입니다.

다음 내용이 궁금하다면?
광고 보고 계속 읽기
원치 않을 경우 뒤로가기를 눌러주세요

실시간 키워드

  1. -
  2. -
  3. -
  4. -
  5. -
  6. -
  7. -
  8. -
  9. -
  10. -

0000.00.00 00:00 기준

이 시각 주요뉴스

알림 문구가 한줄로 들어가는 영역입니다

신고하기

작성 아이디가 들어갑니다

내용 내용이 최대 두 줄로 노출됩니다

신고 사유를 선택하세요

이 이야기를
공유하세요

이 콘텐츠를 공유하세요.

콘텐츠 공유하고 수익 받는 방법이 궁금하다면👋>
주소가 복사되었습니다.
유튜브로 이동하여 공유해 주세요.
유튜브 활용 방법 알아보기