조용한 살인자 '폐암'…"조기발견 땐 생존율 80% 올라가"

실시간 키워드

2022.08.01 00:00 기준

조용한 살인자 '폐암'…"조기발견 땐 생존율 80% 올라가"

모두서치 2025-10-07 01:11:28 신고

3줄요약
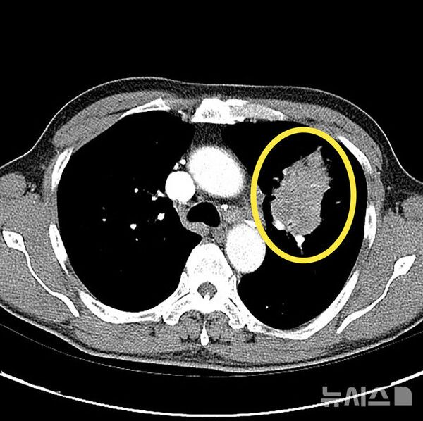
사진 = 뉴시스

 

폐암은 우리나라에서 발생률 기준 전체 암 중 세 번째로 흔하면서도, 암 사망 원인 1위를 차지하는 치명적인 암이다.

뉴시스 보도에 따르면, 7일 국가암등록통계(2018~2022년)에 따르면 폐암 환자의 5년 상대생존율은 40.6%에 불과하다. 그러나 전이가 없는 조기 폐암의 경우 5년 생존율이 79.8%에 달한다. 폐암의 조기 진단과 치료의 중요성을 보여주는 수치다.

폐암은 폐에 생기는 악성 종양으로, 발생 위치와 세포 형태에 따라 크게 비소세포폐암과 소세포폐암으로 나뉜다. 비소세포폐암은 전체 환자의 약 85%를 차지하며 진행 속도가 비교적 느린 편이지만, 소세포폐암은 성장과 전이가 매우 빠르고 예후가 나빠 조기 진단이 무엇보다 중요하다.

우리나라에서 폐암은 전체 암 발생률은 상대적으로 낮지만, 사망 원인으로는 1위를 차지해 고위험군에서는 반드시 정기적인 검진이 필요하다.

폐암의 가장 큰 원인은 흡연이다. 그러나 최근에는 흡연과 무관하게 발생하는 비흡연자 폐암도 꾸준히 증가하고 있다. 대한폐암학회에 따르면 지난해 국내 폐암 환자의 약 36%가 비흡연자이며, 특히 여성에서 높은 비율을 차지한다. 실내외 공기오염이나 라돈, 간접 흡연, 직업적 노출, 가족력 등 환경적·유전적 요인이 주요 원인으로 지목된다.

폐암은 초기 증상의 거의 없어 조용히 진행되는 경우가 많다. 전문가들은 폐암의 가장 큰 위험 요인으로 이러한 '자각 증상의 부재'를 꼽고 있다.

폐암의 증상 중 기침이나 가래 같은 증상은 감기·기관지염으로 오인되기 쉽고, 폐는 통증을 잘 느끼지 않는 장기여서 병이 상당히 진행된 후 발견되는 경우가 많다. 실제로 많은 환자가 증상이 나타난 뒤 뒤늦게 받게 되는데, 이때는 치료 성과와 생존율이 크게 떨어진다.

암이 상당히 진행된 이후에는 호흡곤란, 기침, 혈담, 체중감소 등이 나타날 수 있다. 흉통, 쌕쌕거림, 피로, 식욕감소, 연하곤란 등을 호소하기도 한다. 전이되면 두통(뇌 전이), 뼈 통증(골 전이), 하지마비(척추 전이) 등 다양한 증상이 동반된다. 초기에는 뚜렷한 증상 없이 건강검진이나 다른 검사 과정에서 우연히 발견되는 경우가 많다.

이 때문에 폐암 고위험군은 반드시 정기검진을 받는 것이 좋다. 흡연력 30갑년 이상, 55세 이상 중장년층, 가족력이 있거나 미세먼지, 조리 시 유해물질 과다 노출 등 환경적 요인이 있다면 고위험군에 해당한다.

이정미 강동경희대학교병원 호흡기알레르기내과 교수는 "고위험군의 경우 증상이 없더라도 저선량 흉부 CT를 통한 정기 검진이 반드시 필요하다"며 "조기 발견이 곧 생존율을 높이는 전략"이라고 말했다.

폐암 진단은 보통 흉부 X-레이로 폐의 이상 여부를 확인하는 것에서 시작한다. 그러나 초기 병변은 잘 보이지 않아 저선량 흉부 CT가 정밀 진단하게 된다. CT에서 폐 결절이 발견되면 조직 검사로 확진한다. 폐암이 진단된 경우 추가 영상검사를 통해 병기를 판정한다. 최근에는 분자유전학 검사로 유전자 변이를 확인해 환자 맞춤형 치료 방침을 정한다.

폐암은 발견 시점이 치료 결과를 좌우한다. 조기에 진단될수록 수술 가능성이 높아지고 완치율 또한 크게 향상된다. 수술이 어려운 진행성 폐암의 경우 항암·면역·표적 치료가 핵심이다.

유전자 변이에 따라 표적치료제를 사용하는 경우가 많은데, 먹는 약이지만 효과가 뛰어나고 부작용도 적다. PD-L1 단백질이 높게 발현된 환자에게는 면역 치료가 좋은 선택지가 될 수 있다.

암은 치료가 끝나도 재발 위험이 존재한다. 따라서 수술 후에는 CT·혈액 검사 등을 통한 정기 추적 관리가 필요하다. 이정미 교수는 "몸 상태를 잘 살피고 이상 징후를 놓치지 않는 것이 재발을 막는 가장 확실한 방법"이라며 "요즘은 치료 기술이 발전했기 때문에, 진단을 받았다고 해서 치료를 포기할 필요는 없다"고 전했다.

Copyright ⓒ 모두서치 무단 전재 및 재배포 금지

본 콘텐츠는 뉴스픽 파트너스에서 공유된 콘텐츠입니다.

다음 내용이 궁금하다면?
광고 보고 계속 읽기
원치 않을 경우 뒤로가기를 눌러주세요

실시간 키워드

  1. -
  2. -
  3. -
  4. -
  5. -
  6. -
  7. -
  8. -
  9. -
  10. -

0000.00.00 00:00 기준

이 시각 주요뉴스

알림 문구가 한줄로 들어가는 영역입니다

신고하기

작성 아이디가 들어갑니다

내용 내용이 최대 두 줄로 노출됩니다

신고 사유를 선택하세요

이 이야기를
공유하세요

이 콘텐츠를 공유하세요.

콘텐츠 공유하고 수익 받는 방법이 궁금하다면👋>
주소가 복사되었습니다.
유튜브로 이동하여 공유해 주세요.
유튜브 활용 방법 알아보기