대부분 모르는 치아 교정인들의 삶

실시간 키워드

2022.08.01 00:00 기준

대부분 모르는 치아 교정인들의 삶

유머갤럭시 2024-09-25 09:52:30 신고

와! 교정끝났다(끝난거아님)

오! 유지장치 계속끼다가 적응되면 자기전에만 끼면된대!(끝난거아님)

와! 씨발 이새끼 뭐지?

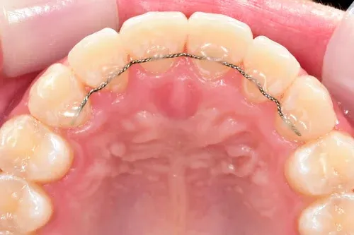
(이새끼들 위 아래 치아밑에 평생붙이고 살아야함, 떼지면 재교정할수도있음)

– 갈비먹을때 뼈에 붙은 살점떼먹다 저장치 뜯기면 병원 재방문

– 엿같이 늘어나고 끈적끈적한거 먹다가 뜯기면 병원 재방문

치아 고른애들이 GOAT임

대부분 모르는 치아 교정인들의 삶

Copyright ⓒ 유머갤럭시 무단 전재 및 재배포 금지

본 콘텐츠는 뉴스픽 파트너스에서 공유된 콘텐츠입니다.

다음 내용이 궁금하다면?
광고 보고 계속 읽기
원치 않을 경우 뒤로가기를 눌러주세요

실시간 키워드

  1. -
  2. -
  3. -
  4. -
  5. -
  6. -
  7. -
  8. -
  9. -
  10. -

0000.00.00 00:00 기준

이 시각 주요뉴스

알림 문구가 한줄로 들어가는 영역입니다

신고하기

작성 아이디가 들어갑니다

내용 내용이 최대 두 줄로 노출됩니다

신고 사유를 선택하세요

이 이야기를
공유하세요

이 콘텐츠를 공유하세요.

콘텐츠 공유하고 수익 받는 방법이 궁금하다면👋>
주소가 복사되었습니다.
유튜브로 이동하여 공유해 주세요.
유튜브 활용 방법 알아보기