-
보통 아이들은 6~7세가 되면 유치가 빠지고 영구치 맹출이 시작되는데, 이때 앞니가 가지런하지 못하거나 치아 사이가 벌어지는 일이 많이 발생해 치아교정 상담을 고민하는 부모가 많다.
관악서울대치과병원 이미영 교수(치과교정과 전문의)는 이 시기가 ‘미운 오리 새끼 단계’라고 불리는 시기로, 앞니 사이가 약간 벌어져 있거나 치아 배열이 고르지 않은 정도는 모두 정상으로 간주한다고 설명했다.
-
하지만, 이 시기에도 즉각적인 치료가 필요할 때가 있다. 이 교수는 “위턱과 아래턱이 균형 있게 성장하지 않았거나 위턱의 폭이 좁은 경우 등은 빠른 시기에 치료를 시작하는 것이 좋다”며, “개별 치아의 배열이 목표인 성인 치아교정과는 달리, 치아를 담고 있는 그릇인 턱을 교정하는 것은 성장기 어린이에게 효과적”이라고 조언했다.
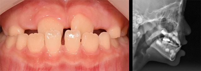
대표적인 경우가 위턱보다 아래턱이 앞으로 나와 윗니와 아랫니가 거꾸로 물리게 되는 ‘반대교합’이다. 반대교합은 만 7~8세 경 영구치가 맹출하는 시기에 주로 치료하지만, 정도가 심한 경우 유치열기(생후 6개월로부터 최초 영구치가 나타나기 직전까지의 기간)에도 치료한다.
이 교수는 “유치열기에는 아래턱보다 위턱의 성장이 중요하다”라며, “반대교합이 있으면 아래턱이 위턱의 성장을 방해하므로 위턱 성장을 촉진하는 치료를 주로 진행한다”라고 말했다.
-
반대교합의 대표적인 치료 방법은 페이스 마스크다. 구강 내 고정식 장치를 장착하고 고무줄로 페이스 마스크를 연결해 착용하게 되는데, 치료 기간은 통상 6개월에서 1년 정도 소요된다. 페이스 마스크의 권장 착용 시간은 하루 12~14시간으로, 집에 있는 시간을 활용해 최대한 착용하도록 권한다.
반대교합과는 반대로 아래턱이 위턱에 비해 성장하지 못해 소위 ‘무턱’이라 불리는 ‘하악후퇴증’도 있다. 이 경우, 윗니가 아랫니를 깊게 덮는 ‘과개교합’이나 턱관절 장애를 동반하기도 한다. 하악후퇴증의 치료는 위턱 성장을 억제하고 아래턱 성장을 촉진하는 악정형치료를 진행한다.
위턱은 좁아도 겉으로 보이지 않아 잘 모르는 경우가 많다. 위아래 턱의 폭이 조화롭지 못할 때는 교합이 불안정하고 심한 경우 비대칭을 동반하기도 한다. 하지만 성장기 아이들은 위턱의 봉합부가 완전히 뼈형성(골화)되지 않은 상태라 비교적 적은 힘으로도 위턱의 확장이 가능하므로 치료를 통해 안정적인 교합과 추가적인 공간을 확보할 수 있다.
이미영 교수는 “아이의 첫 치과교정과 방문은 특별한 이상이 없는 한 만 7~8세 정도가 가장 적절하다”라며, “이 시기에 치과교정과 전문의 정기 검진을 받아 골격 성장이나 영구치 발육 상태를 확인하는 것이 좋다”고 말했다. 이어 “개인별로 골격과 치열은 매우 다양해 유사해 보이는 부정교합도 매우 다른 특징을 갖고 있을 수 있다”며, “치과교정과 전문의를 통해 정확한 검진과 소견을 받아보는 것이 중요하다”고 강조했다.
- 김정아 기자 jungya@chosun.com
최신뉴스
본 콘텐츠는 뉴스픽 파트너스에서 공유된 콘텐츠입니다.


