일반칫솔vs전동칫솔... 잇몸질환 감소에 어떤 게 더 효과 있을까?

실시간 키워드

2022.08.01 00:00 기준

일반칫솔vs전동칫솔... 잇몸질환 감소에 어떤 게 더 효과 있을까?

위키트리 2023-08-16 12:15:00 신고

3줄요약

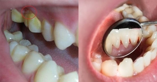
하루 3번 양치질을 꼬박하면서도 입냄새, 충치, 잇몸질환으로 고생하는 사람이 많다. 이유가 뭘까?

양치질하는 방법이 잘못됐기 때문이다.
이하 셔터스톡

치아 건강을 해치는 원인은 치아와 잇몸 깊숙이 들어가 있는 음식물 찌꺼기다. 일반 칫솔로 열심히 양치해도 칫솔모가 닿지 않는 치아에는 찌꺼기가 남게 된다. 찌꺼기, 플라크(세균) 등은 침을 만나면 돌처럼 딱딱한 치석이 되는데, 치석 관리를 소홀히 하면 충치 질환은 물론 심해지면 치아 상실까지 초래한다.

셔터스톡

기사와 관련 없는 사진 / MBC '나혼자산다'

전동칫솔은 치아 솔이 끝까지 가지 않아도 치아 사이의 치태와 세균팍을 음파 진동으로 적절하게 닦아 효과를 높인다고 보고되고 있다. (※ 실제 지난 25년간 전동칫솔과 수동칫솔의 효과를 비교한 약 60여 개의 논문들이 내린 결론은, 대부분의 전동칫솔이 일반칫솔보다 효과적으로 치태를 제거하며 잇몸질환 발생을 낮추는 것으로 나왔다.)

치실, 치간칫솔 없이도 하루 2분, 단 3번으로 스마트하게 치석 관리를 해줄 전동칫솔을 찾고 있다면 1만원대 '클린택 스마트 음파 전동칫솔'을 추천한다. (바로가기)

이 칫솔은 분당 28,000회의 초미세 음파 진동이 미세한 공기 방울을 만들어낸다. 방울들은 일반 칫솔이 닿지 못하는 치간, 치아, 잇몸 틈새 깊숙한 곳까지 들어가 숨어있던 플라그와 치석, 찌꺼기를 말끔하게 제거한다. 양치 후 구강 내 상쾌함과 개운함을 느낄 수 있다.

타 전동칫솔과 다른 가장 큰 차별점은 '부담 없는 가격과 휴대성'이다.

일반 칫솔과 거의 같은 크기의 31g 무게지만, 고가의 전동칫솔과 기능은 같으며, 1만원대로 가격도 합리적인 것이 특징. 별도의 충전 없이 AAA 건전지 1개로 전원 걱정 없이 휴대할 수 있다. (바로가기)

특히 잇몸을 후두려패는듯한 강한 진동의 전동칫솔 단점을 없앤 부드러운 음파 진동으로 잇몸이 파이거나 피가 나고 붓는 등의 부작용이 전혀 없어 호응이 크다. FDA 인증을 획득한 미국 듀폰(DUPONT)사의 고품질 W형 칫솔모가 치아 사이사이 빈틈없이 밀착하면서 틈새까지 깨끗하게 닦아준다.

이 밖에도 해당 제품은 정확한 맞춤 케어를 위한 2가지 모드도 제공된다.

매일매일 상쾌한 데일리 케어를 도와주는 '클린모드', 연약한 잇몸과 치아를 부드럽게 마사지해 주는 '센시티브 모드' 2가지 모드로 양치할 때마다 원하는 모드를 선택해 사용하면 된다. 칫솔모는 잇몸에 약 40~45도 각도가 되도록 하고 손목에 힘을 빼고 천천히 움직여주는 게 좋다.

치과의사가 권장하는 양치 시간은 2분이다. 이 전동 칫솔은 30초마다 양치 위치 변경 진동이 울린다. 진동이 울릴 때마다 위치를 변경해 치아 4면을 구석구석 닦으면 된다. 윗니 아랫니를 4등분해 각각 30초씩 양치하면 2분 후 자동으로 전원이 꺼진다.

사용자들은 "사랑니 잘못 나서 어금니 음식 찌꺼기 때문에 고민이었는데 이 칫솔이면 고민 완벽 해결", "매일 스케일링하는 기분...", "확실히 치아 사이가 섬세하게 청소되는 느낌", "방수돼서 일반칫솔처럼 화장실 아무데나 냅둬도 문제없어 편하다" 등 후기를 남겼다. (바로가기)

클린택 스마트 음파 전동칫솔은 택샵에서 단 일주일간 국내 최저가 13,900원에 득템할 수 있다. 출시 기념 구매자 전원에게 추가 증정되는 사은품도 있으니 이번 타임 세일을 놓치지 말자.

Copyright ⓒ 위키트리 무단 전재 및 재배포 금지

본 콘텐츠는 뉴스픽 파트너스에서 공유된 콘텐츠입니다.

다음 내용이 궁금하다면?
광고 보고 계속 읽기
원치 않을 경우 뒤로가기를 눌러주세요

실시간 키워드

  1. -
  2. -
  3. -
  4. -
  5. -
  6. -
  7. -
  8. -
  9. -
  10. -

0000.00.00 00:00 기준

이 시각 주요뉴스

알림 문구가 한줄로 들어가는 영역입니다

신고하기

작성 아이디가 들어갑니다

내용 내용이 최대 두 줄로 노출됩니다

신고 사유를 선택하세요

이 이야기를
공유하세요

이 콘텐츠를 공유하세요.

콘텐츠 공유하고 수익 받는 방법이 궁금하다면👋>
주소가 복사되었습니다.
유튜브로 이동하여 공유해 주세요.
유튜브 활용 방법 알아보기