![]() |
①연초 대비 수익률 300%… AI영상진단株 '훨훨'
②'4社 4色' AI영상진단… 국내 대표기업 차별점 뭐길래
③'의사 없는' 진단시대? 진화하는 AI영상진단, 어떻게 쓰이나[소박스]
코스닥 시장에 상장한 국내 인공지능(AI)영상진단 기업 4곳(루닛, 뷰노, 딥노이드, 제이엘케이)이 주력 시장, 타깃 분야 등의 차별점을 앞세워 AI영상진단 시장 장악에 나섰다.
항암 분야 강점 '루닛', 해외서 더 주목 루닛은 코스닥 시장에서 외국인투자자 비중이 상위권에 속할 정도로 해외에서 관심이 높다. 지난 21일 외국인투자자가 보유한 루닛 지분 비율은 26.97%로 코스닥 상장 1543개 기업 중 45위를 차지했다.
루닛은 AI에 기반한 암진단 설루션 '루닛인사이트'와 환자의 바이오마커(생체지표)를 분석해 면역항암제 사용이 적합한 환자를 선별해 주는 AI 설루션 '루닛 스코프'를 보유하고 있다. 루닛 관계자는 "모든 암 영역에서 글로벌 표준이 되겠다"고 말했다.
루닛인사이트를 도입한 해외 의료기관 수는 2000곳이 넘는다. 지이헬스케어, 아그파헬스케어, 필립스, 후지필름 등 글로벌 고객사를 통해 세계 160개국 이상에 AI설루션을 공급하고 있다.
2021년 11월 미국 식품의약국(FDA)에서 유방암 진단 설루션 '루닛인사이트 MMG'와 응급질환을 AI가 자동으로 분류하는 '루닛인사이트 CXR 트리아지'의 품목허가를 받아 세계 최대 의료기기 시장인 미국을 공략하고 있다. 루닛은 올해 1분기 기록한 매출 110억원 중 수출액이 98억원으로 전체 매출의 88.6%를 해외에서 올렸다.
![]() |
뷰노는 2021년 삼성전자와 계약을 체결해 뷰노메드 체스트 엑스레이를 공급하고 있다. 삼성전자가 개발하는 이동형 디지털 진단용 엑스레이 촬영 장비에 뷰노메드 체스트 엑스레이를 탑재하고 있는데 지난 4월 공급계약 종료 시점을 오는 12월31일에서 2025년 12월31일로 변경해 협력 기간을 늘렸다.
업계에서는 뷰노메드 체스트 엑스레이가 탑재된 삼성전자의 이동형 디지털 진단용 엑스레이 촬영 장비를 향한 시장의 호응도가 높아 계약 기간이 연장된 것으로 본다. 뷰노는 앞서 2016년 LG전자의 디지털 엑스레이 검출기(DXD)와 자사 AI 설루션의 패키지 상품을 출시하기도 했다.
뷰노는 AI 의료기기를 상용화한 국내 1호 기업이다. 2018년 AI 기반 골연령 측정 설루션 뷰노메드 본에이지를 선보였는데 현재 200곳 이상의 병·의원에서 사용 중이다.
지난해 6월 MRI로 촬영한 뇌 영상을 AI를 통해 판독하는 설루션 뷰노메드 딥브레인이 건강보험심사평가원(심평원)으로부터 요양급여 대상을 인정받으며 설루션 보급 확대가 기대된다. 치매 등 퇴행성 뇌질환 진단에 있어 건강보험 혜택을 받을 수 있게 돼서다.
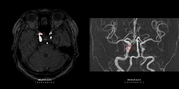
의사의 AI설루션 개발 지원, AI영상진단 생태계 주도 '딥노이드' 딥노이드는 AI설루션 개발에서부터 배포, 활용 등의 AI영상진단 전 과정에서 생태계를 구축하고 있다.
직접 AI설루션을 개발하는 파이프라인 방식뿐만 아니라 의료인이 AI설루션을 개발할 수 있도록 돕는 플랫폼 방식의 '투트랙' 사업모델을 운영하고 있다. 이 중 플랫폼 방식은 회사 내부 개발비용을 줄일 수 있는 장점이 있다. 현장의 수요(니즈)를 반영해 동시에 여러 설루션 개발을 추진할 수 있어 국내 AI영상진단기업 중 식약처로부터 가장 많은 설루션 품목허가를 받았다.
뇌혈관, 폐, 척추, 흉부, 유방 등 다양한 질환영역에서 18종의 AI설루션이 출시됐는데 경희의료원, 부산대학교병원 등 주요 대학병원은 물론 심평원에도 AI설루션을 공급하고 있다. 특히 심평원은 AI영상 저장 및 전송시스템 구축에 딥노이드의 AI영상 판독지원 설루션 딥팩스를 활용 중이다.
오프라인 영업뿐만 아니라 AI설루션을 배포하고 거래할 수 있는 전용 마켓인 딥스토어도 두고 있다. 딥노이드는 직접 의료영상 원격 판독 전문병원(경남 김해 휴아인 영상전문의원)을 운영하며 자사 AI설루션도 검증한다.
![]() |
특히 세계 유일의 뇌졸중 설루션 메디허브 스트로크를 보유하고 있다. 메디허브 스트로크는 CT나 MRI를 활용해 ▲뇌출혈 여부 또는 뇌경색 유형 분석 ▲혈전 유형 분류 ▲뇌경색 중증도 예측 ▲뇌경색 예후 예측 등의 프로그램으로 구성돼 있다. 뇌졸중 환자의 입원에서부터 수술 후 재활에 이르기까지 전 과정에서 활용될 수 있다.
여기에 개발 중인 모바일 플랫폼 스내피를 구축해 뇌졸중 환자의 치료 시간을 단축한다는 목표를 정했다. 뇌졸중은 발생한 순간부터 1분에 190만개, 1시간에 1억2000만개의 신경세포가 사멸하기 때문에 빠른 치료가 중요한 질환이다.
제이엘케이는 스내피를 구축하면 뇌졸중 환자를 진단해 뇌졸중 센터로 이송해 치료하는 데 걸리는 시간을 약 110분 줄일 수 있을 것으로 본다. 치료 시간을 110분 단축한다면 치료 후 정상적인 일상생활을 할 수 있는 확률은 약 2배 수준으로 높아지는 것으로 알려졌다.
Copyright ⓒ 머니S 무단 전재 및 재배포 금지


