中 갓난아기 머리 너무 커 열어보니...두개골서 '쌍둥이 형제' 발견

실시간 키워드

2022.08.01 00:00 기준

中 갓난아기 머리 너무 커 열어보니...두개골서 '쌍둥이 형제' 발견

데일리안 2023-03-11 08:38:00 신고

3줄요약
두개골에서 발견된 기생 태아ⓒ트위터 갈무리 두개골에서 발견된 기생 태아ⓒ트위터 갈무리

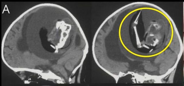
중국에서 태어난 1세 아이의 두개골에서 '일란성 쌍둥이 태아'가 발견됐다.

9일(현지시간) 영국 데일리스타에 따르면 중국 푸단대학 병원 의사들은 1세 아이의 두개골 안에서 일란성 쌍둥이의 태아를 제거했다.

이 아이는 대두증과 운동 능력 상실 등이 의심돼 부모와 함께 병원을 찾은 것으로 전해졌다. 의료진은 아이의 머리에 종양이 있을 것으로 생각했고, 즉시 CT 촬영을 실시했다.

검사 결과는 충격적이었다. 아이의 두개골 안에 종양이 아닌 '태아'가 웅크리고 있었기 때문이다. 태아는 두개골 안에서 혈관을 공유하며 뇌를 짓누르고 있었다.

태아는 아이가 산모의 자궁에 있었을 당시에도 존재했으며, 연결된 혈관으로부터 뼈와 팔, 손까지 발달한 상태였던 것으로 전해졌다.

제거된 태아의 손ⓒ트위터 갈무리 제거된 태아의 손ⓒ트위터 갈무리

아이는 두개골 안에서 자리를 차지하고 있는 태아 때문에 뇌 일부분에 척수액이 고이는 증상인 수두증(물뇌증)을 앓고 있었다.

이에 의료진은 외과 수술을 통해 아이의 두개골 속 태아를 제거했다.

DNA 분석 결과 태아는 아이의 쌍둥이였던 것으로 조사됐다. 도태돼야 하는 분리된 수정란이 전뇌로 발달하면서 이 같은 현상이 발생한 것이다.

전문의는 이번 사례가 '쌍생아 소실'(Vanishing twin)의 희귀 사례로, 전 세계에서 약 200번밖에 기록되지 않은 극히 드문 경우라고 밝혔다.

쌍생아 소실은 임신 10-15주 사이에 수태된 쌍둥이 중 하나가 임산부나 다른 쌍둥이에 흡수되어 유산하는 사례다. 완전히 흡수돼 사라지는 경우도 있지만, 이번 사례처럼 태아 상태로 남거나 신체 일부가 섞이는 경우도 있다. 정확한 발생 원인은 밝혀진 바 없다.

의료진은 현재 아이의 예후를 살피고 있는 것으로 전해졌다. 다만 의료진은 아이에게 장기적인 후유증이 남을 수 있다고 우려했다.

©(주) 데일리안 무단전재 및 재배포 금지

실시간 키워드

  1. -
  2. -
  3. -
  4. -
  5. -
  6. -
  7. -
  8. -
  9. -
  10. -

0000.00.00 00:00 기준

이 시각 주요뉴스

알림 문구가 한줄로 들어가는 영역입니다

신고하기

작성 아이디가 들어갑니다

내용 내용이 최대 두 줄로 노출됩니다

신고 사유를 선택하세요

이 이야기를
공유하세요

이 콘텐츠를 공유하세요.

콘텐츠 공유하고 수익 받는 방법이 궁금하다면👋>
주소가 복사되었습니다.
유튜브로 이동하여 공유해 주세요.
유튜브 활용 방법 알아보기