성별 나왔네요..!

실시간 키워드

2022.08.01 00:00 기준

성별 나왔네요..!

시보드 2025-09-15 16:05:01 신고

성별 나왔네요..! 성별 나왔네요..!

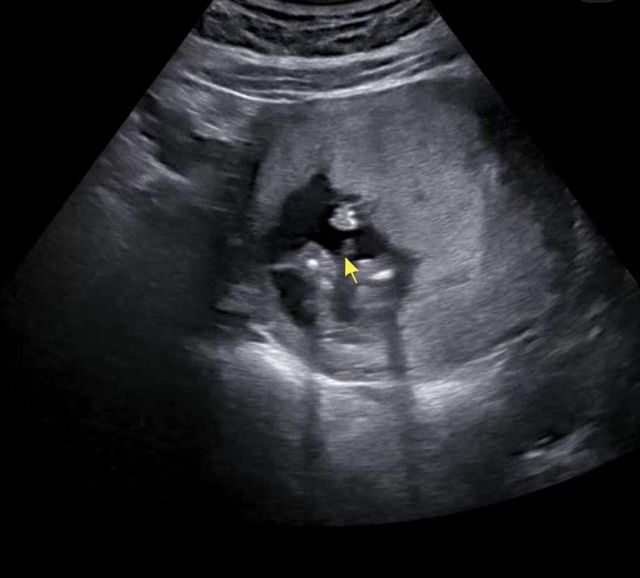
지난주 주말에 가서 확인했는데, 와이프랑 저랑 확인하기전부터 계속 딸이였음 싶다가 아들인거 확인하구, 아들이면 어떻구 딸이면 어때! 하면서 그저 무사히 건강하게만 나와줫음 싶은 마음으로 주말 보냈습니다!


와이프 임산부복 사러 간김에 겸사겸사 애기 첫 옷도 사왔어요! 2차 기형아검사 이번주에 나오는데 부디 별 탈 없기를 바래봅니다! 다들 이번 한 주도 힘내새요!

Copyright ⓒ 시보드 무단 전재 및 재배포 금지

본 콘텐츠는 뉴스픽 파트너스에서 공유된 콘텐츠입니다.

다음 내용이 궁금하다면?
광고 보고 계속 읽기
원치 않을 경우 뒤로가기를 눌러주세요

실시간 키워드

  1. -
  2. -
  3. -
  4. -
  5. -
  6. -
  7. -
  8. -
  9. -
  10. -

0000.00.00 00:00 기준

이 시각 주요뉴스

알림 문구가 한줄로 들어가는 영역입니다

신고하기

작성 아이디가 들어갑니다

내용 내용이 최대 두 줄로 노출됩니다

신고 사유를 선택하세요

이 이야기를
공유하세요

이 콘텐츠를 공유하세요.

콘텐츠 공유하고 수익 받는 방법이 궁금하다면👋>
주소가 복사되었습니다.
유튜브로 이동하여 공유해 주세요.
유튜브 활용 방법 알아보기