‘경골 후방 경사각’은 경골을 옆에서 볼 때 관절면이 얼마나 뒤로 기울어져 있는지 나타내는 각도다.
무릎 관절의 안정성과 무릎 수술 후 인공관절 수명에 결정적 영향을 미친다. 특히 이 각도가 크면 십자인대 부상 위험이 높고, 인공관절 수술 예후도 나빠질 수 있다.
그러나 의료기관마다 무릎 엑스레이의 길이나 배율이 다양하기 때문에 경골 후방 경사각을 측정하는 표준화된 방법은 세계적으로 부재했다. 이에 같은 환자라도 기관마다 측정값이 다를 수 있어, 연구 결과의 임상 적용에 한계가 있었다.
이런 가운데 무릎 수술 예후에 관여하는 핵심 지표를 수기 측정보다 10배 빠르게 계산하는 인공지능 모델이 개발됐다.
이 모델의 측정 성능은 전문의와 상당히 일치하는 것으로 나타나, 표준화된 측정 기준이 없었던 ‘경골(정강뼈) 후방 경사각’을 신속하고 정확하게 측정할 수 있는 것으로 확인됐다.
이는 추후 임상과 연구에서 통일된 기준을 제시해 의료 효율성 향상에 기여할 것으로 기대된다.
서울대병원 정형외과 노두현 교수·김성은 연구교수와 미국 미네소타대, 노르웨이 베르겐대 공동연구팀은 2009년부터 2019년까지 촬영된 1만여건의 무릎 관절 측면 엑스레이 영상을 바탕으로, 경골 후방 경사각을빠르고 신뢰성 있게 측정 가능한 딥러닝 모델을 개발했다고 발표했다.
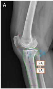
[사진 : 딥러닝 모델의 측정 매커니즘. 6개의 해부학적 기준점(빨간 점)을 자동 인식한 후, 경골의 관절선과 중심축(파란 선)을 결정해 경골 후방 기울기를 계산한다.]
이 모델은 무릎뼈의 6개의 해부학적 기준점(랜드마크, 해부학적 기준점: 슬개골 상·하단 극, 슬개골 관절면 원위부 가장자리, 내측 경골 고원 전·후방 정점, 경골 결절의 근위부)을 자동으로 인식한다.
이후 각 기준점을 이용하여 경골의 관절선과 중심축을 결정하고, 이를 바탕으로 기울기를 계산한다. 이 방법은 엑스레이 영상이 짧거나, 실제 거리 측정이 불가능한 경우 등 다양한 임상 조건에서 활용 가능하다는 장점이 있다.
이 모델과 전문의 수기 측정의 성능을 비교한 결과, 딥러닝 모델의 측정 시간이 수기 측정 대비 10배 이상 빨랐다. (평균 2.5초 vs 평균 26.1초)
또한 ‘관찰자 간 상관계수’는 최소 91%로, 이는 딥러닝 모델의 측정값이 전문의의 수기 측정값과 상당히 일치함을 의미한다.
반면, 성능의 일관성을 의미하는 ‘관찰자 내 상관계수’는 수기 측정이 최대 95%였지만, 딥러닝 모델은 완벽한 일관성(100%)을 보였다.
추가적으로 후속 연구에서 노르웨이 환자 289명의 무릎 영상을 검증한 결과, 딥러닝 모델과 전문의의 관찰자 간 상관계수는 80%로 나타났다.
이 결과는 경골 후방 경사각을 측정하는 딥러닝 모델이 다양한 인종군을 대상으로 확대 적용 가능함을 시사한다.
김성은 연구교수(교신저자)는 “이 결과는 국내에서 개발된 의료 AI 기술을 여러 인종에서 성공적으로 검증한 사례”라며 “이 모델이 경골 후방 경사각 측정의 표준으로 자리잡을 수 있도록 후속 연구를 통한 범용성 확대 방안을 모색하겠다”고 말했다.
(사진 : 서울대병원 정형외과 노두현 교수, 김성은 연구교수)
이번 연구 결과는 최근 국제학술지 ‘스포츠의학 정형외과 저널(Orthopaedic Journal of Sports Medicine)’에 게재됐다.
[메디컬월드뉴스 김영신 기자]
Copyright ⓒ 메디컬월드뉴스 무단 전재 및 재배포 금지
본 콘텐츠는 뉴스픽 파트너스에서 공유된 콘텐츠입니다.

