위암의 정확한 병기 결정을 위한 새로운 CT 진단법이 개발됐다.
이번에 개발한 '역동적 CT 벽관통 신호(CT transmural sign, CTTM sign)' 분석법은 기존 CT 검사로는 구분이 어려웠던 조기 위암의 세부 병기를 정확히 판별할 수 있는 혁신적인 진단 기술이다.
기존 CT 검사는 진행성 위암의 병기 결정에는 유용했지만, T2 병기 이하의 조기 위암에서는 병기 구분에 한계가 있어 치료 계획 수립에 어려움이 있었다.
‘역동적 CT 벽관통 신호’ 진단법은 역동적 CT 촬영을 통해 나타나는 벽관통 신호를 분석해 위암의 침윤 깊이를 보다 정확하게 판단하는 기술이다.
여의도성모병원 영상의학과 정동진 교수팀(소화기내과 정대영 교수)은 116명의 위암 환자 데이터를 분석해 새로운 CTTM 기준을 기존 CT와 비교했다.
특히 조기 위암 병기인 T1b 단계에서 sm1(얕은 침윤)과 sm2/3(깊은 침윤)로 정확히 구분할 수 있음을 입증했다.
CTTM 분석은 CT 영상의 3단계 조영(동맥기, 문맥기, 지연기)에서 종양의 증강 양상을 점수화해 병기를 판별하는 방식이다.
특히 T1b 병기와 T2 병기에서 높은 진단 정확도를 보였으며, 조기위암의 세부 분류인 T1b sm1과 T1b sm2/3를 명확히 구분할 수 있어 임상적 활용도가 매우 높다.
[그래프 : ‘CT transmural sign(CTTM sign)’을 적용한 영상 진단법의 전반적 위암 T 병기 진단 정확도를 기존 CT 기준과 비교한 결과. CTTM 기법은 Reviewer 1과 2 모두에서 각각 88.9%, 91.4%의 높은 정확도를 기록, 기존 CT 기준(75.9%) 대비 우수한 성능을 입증함.]
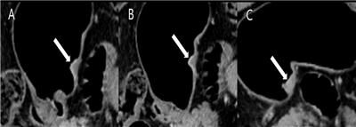
[사진 : 조기위암 T1b sm2/3로 진단 된 환자의 CT 영상. 좌측으로 부터 3단계 조영증강 영상 (동맥기, 문맥기, 지연기)에서 조기위암 (화살표)의 조영증강 양상이 변하는 것을 관찰 할 수 있다.]
이 진단법을 적용할 경우 조기 위암 환자들에게 보다 정확한 병기 평가를 제공할 수 있어 환자 개인에게 최적화된 맞춤형 치료가 가능해진다.
이를 통해 불필요한 수술을 피하고 치료 후유증을 최소화하면서도 치료 효과는 극대화할 수 있을 것으로 기대된다.
정동진 교수는 “이번 연구는 조기 위암 진단의 정확도를 한 단계 끌어올린 성과”라며 “앞으로도 최신 진단 기술을 적극 활용해 환자들에게 더욱 안전하고 정확한 진단을 제공하는 데 매진하겠다”고 밝혔다.
이번 연구는 영상의학 분야 국제 저널 ‘BMC Medical Imaging(IF=2.9)’ 2025년 5월호에 게재됐다.
[메디컬월드뉴스 김영신 기자]
Copyright ⓒ 메디컬월드뉴스 무단 전재 및 재배포 금지
본 콘텐츠는 뉴스픽 파트너스에서 공유된 콘텐츠입니다.


