"시간과의 싸움" 머릿속 출혈…이젠, AI에게 맡겨보세요[빠정예진]

실시간 키워드

2022.08.01 00:00 기준

"시간과의 싸움" 머릿속 출혈…이젠, AI에게 맡겨보세요[빠정예진]

모두서치 2025-05-31 06:06:23 신고

3줄요약
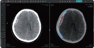
사진 = 뉴시스

 

 


뉴시스 보도에 따르면, 최근 방송에서 배우 안재욱 씨가 과거 미국 여행 중 지주막하출혈로 5시간에 걸친 수술을 받았다는 사실이 알려지며 뇌출혈 진단과 치료의 중요성이 다시금 주목받고 있다.

지주막하출혈(SDH)은 뇌동맥 파열 등으로 인해 뇌와 두개골 사이 공간에 출혈이 발생하는 고위험 뇌질환으로 조기 진단과 빠른 수술이 생존과 후유증 여부를 좌우한다.

이런 가운데 인공지능(AI) 기반 뇌 질환 진단 기업 제이엘케이(JLK)가 개발한 ‘JLK-SDH’ 솔루션이 미국 식품의약국(FDA)으로부터 인허가를 획득한 것이 재조명되며 주목받고 있다.

JLK-SDH는 컴퓨터 단층촬영(CT)에서 신호강도가 강하지 않아 정상 뇌와 구분이 어려운 아급성(subacute) 혹은 만성 경막하출혈 데이터 학습에 공을 들여 어려운 뇌출혈 진단에 강점이 있다고 회사 측은 전했다. 회사 측은 JLK-SDH 솔루션이 응급 상황에서 의료진에게 신속하고 정확한 진단을 내리는 데 큰 도움이 될 것이라고 설명했다.

실제 지주막하출혈의 경우 이른 시간 안에 수술이 이뤄지지 않으면 생존율이 급감하고 심각한 후유증을 남긴다. 따라서 조기 진단을 위한 AI 솔루션의 활용은 환자의 생존율 개선 측면에서 주목받는 분야다.

제이엘케이 관계자는 "JLK-SDH는 컴퓨터 CT 이미지를 기반으로 지주막하출혈 여부를 빠르게 분석해 의료진의 초기 판단을 돕는 솔루션"이라고 말했다.

 

 

 

 

 


현재 제이엘케이는 신경학적 응급질환을 중심으로 인허가 획득 및 시장 진출에 전념하고 있다. 현재 미국 시장 내 관련 질환 수요가 두터운 만큼, 핵심 시장으로 두고 솔루션 공급망 확대에 초점을 맞춘다는 전략이다. 제이엘케이는 최근 1년간 총 7건의 FDA 인허가를 획득하며 북미 의료시장 진출을 가속화하고 있다.

한편, 제이엘케이는 범부처전주기의료기기연구개발사업단으로부터 연구를 지원받으며 과제 초기 단계부터 계획서 작성, 임상시험, 정책적 지원 등 여러 방면에 도움을 받았다. 사업단이 단순한 과제 완수에 그치지 않고 국내 의료기기 기업이 시장에 성공적으로 진출하고 경쟁력 있는 국산 의료기기를 만드는 데 일조한 덕분에 제이엘케이는 급속히 변화하는 시장 상황에 유연히 대처할 수 있었다. 또한 제이엘케이는 2024년 10대 대표과제로 선정되며 연구 성과와 그 가치를 한 번 더 인정받기도 했다.

 

 

Copyright ⓒ 모두서치 무단 전재 및 재배포 금지

본 콘텐츠는 뉴스픽 파트너스에서 공유된 콘텐츠입니다.

다음 내용이 궁금하다면?
광고 보고 계속 읽기
원치 않을 경우 뒤로가기를 눌러주세요

실시간 키워드

  1. -
  2. -
  3. -
  4. -
  5. -
  6. -
  7. -
  8. -
  9. -
  10. -

0000.00.00 00:00 기준

이 시각 주요뉴스

알림 문구가 한줄로 들어가는 영역입니다

신고하기

작성 아이디가 들어갑니다

내용 내용이 최대 두 줄로 노출됩니다

신고 사유를 선택하세요

이 이야기를
공유하세요

이 콘텐츠를 공유하세요.

콘텐츠 공유하고 수익 받는 방법이 궁금하다면👋>
주소가 복사되었습니다.
유튜브로 이동하여 공유해 주세요.
유튜브 활용 방법 알아보기