소년 요도에서 나온 7cm 철사…○○○ 때문에

실시간 키워드

2022.08.01 00:00 기준

소년 요도에서 나온 7cm 철사…○○○ 때문에

모두서치 2025-05-23 01:05:09 신고

3줄요약
사진 = 뉴시스

 

 


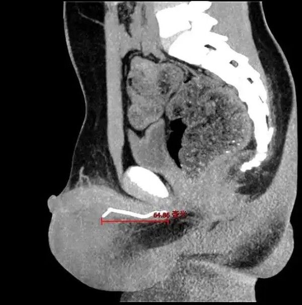
뉴시스 보도에 따르면, 중국의 한 10세 소년의 요도에서 7cm 길이의 철사가 발견돼 충격을 주고 있다.

22일(현지 시각) 중국 장강일보에 따르면, 지난 3월 처음 병원을 찾은 소년은 음낭 통증을 호소했다. 초기 초음파 검사에서는 경미한 부종만 확인돼 항생제가 처방됐다.

그러나 한 달 후 상태가 악화됐고, 통증과 함께 음낭이 심하게 부어 병원을 다시 찾았다.

의료진은 종양 가능성을 의심해 CT 검사를 시행했고, 그 결과 소년의 요도 깊숙한 곳에서 길이 약 7cm의 철사를 발견했다.

이는 마스크 코 지지대인 것으로 밝혀졌다. 요도에서 삽입돼 음낭 부위까지 도달해 있었다.

의사의 거듭된 질문에 소년은 "호기심에 철사를 요도에 넣었다가 빼지 못했다"며 "혼날까 봐 부모에게 말하지 못했다"고 털어놨다.

 

 

 


의료진은 즉시 수술에 돌입해 철사를 제거했으며, 현재 소년은 회복 중인 것으로 전해졌다.

의료진은 "사춘기 전후의 아이들이 신체에 대한 호기심으로 위험한 행동을 할 수 있어, 올바른 성교육과 관심이 필요하다"고 강조했다.

누리꾼들은 "마스크 철사로 이런 일이 생길 줄이야" "호기심이 무섭다. 철사가 몸속에 3개월이나 있었다니" 등의 반응을 보였다.

 

Copyright ⓒ 모두서치 무단 전재 및 재배포 금지

본 콘텐츠는 뉴스픽 파트너스에서 공유된 콘텐츠입니다.

다음 내용이 궁금하다면?
광고 보고 계속 읽기
원치 않을 경우 뒤로가기를 눌러주세요

실시간 키워드

  1. -
  2. -
  3. -
  4. -
  5. -
  6. -
  7. -
  8. -
  9. -
  10. -

0000.00.00 00:00 기준

이 시각 주요뉴스

알림 문구가 한줄로 들어가는 영역입니다

신고하기

작성 아이디가 들어갑니다

내용 내용이 최대 두 줄로 노출됩니다

신고 사유를 선택하세요

이 이야기를
공유하세요

이 콘텐츠를 공유하세요.

콘텐츠 공유하고 수익 받는 방법이 궁금하다면👋>
주소가 복사되었습니다.
유튜브로 이동하여 공유해 주세요.
유튜브 활용 방법 알아보기