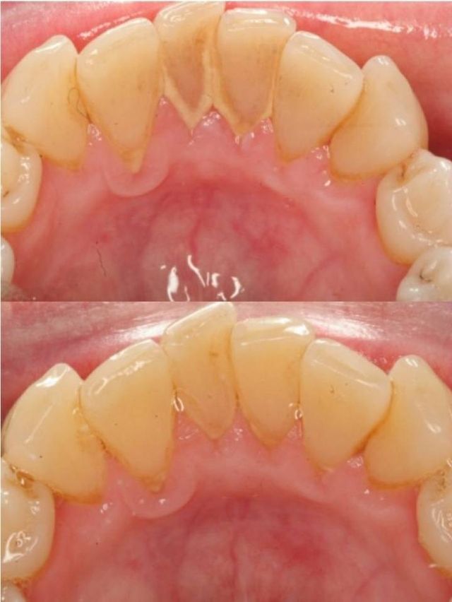
치석이 잘 쌓이는 데
특히 아랫니 뒤
여기 침샘 분비되어서
치석 잘 쌓인대
평소 내눈에 안보여서 그렇지
치경 1000~ 3000원 이면 삼
그거 가지고
아랫니 뒤에 보여줌.
저기 보통 치석 광산임
치아 사이도 사이지만
잇몸과 치아 사이에는 잘 보일꺼임
지 치석을 보고 스케일링 안가면 그거 문제있음.
더러워서 당장 치과로 뛰쳐나가고싶음
.
치과사진에서 가져옴
아래 하얀 부분이 치석이야
담배피면 치석 갈색 검은색임.
오래되어도 치석 검게 변함.
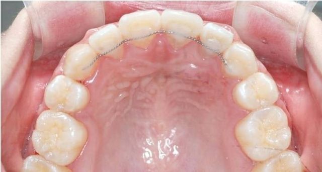
특히 교정 후 유지장치 낀사람은
아랫니 뒤가 진짜 치석과의 전쟁임.
Copyright ⓒ 사이다판 무단 전재 및 재배포 금지
본 콘텐츠는 뉴스픽 파트너스에서 공유된 콘텐츠입니다.






