나 12사에서 죽을뻔하고 척추에 심 21개 박은 사람이다

실시간 키워드

2022.08.01 00:00 기준

나 12사에서 죽을뻔하고 척추에 심 21개 박은 사람이다

시보드 2024-05-30 20:54:02 신고

 

17170699943325.jpg

17170699947492.jpg

[시리즈] 티타늄맨 이야기


자세한 내용은 위글을 읽어봐주길 바란다
나도 12사때 훈련병시절 완전 군장하고 쓰러지고
척추 무너지고 희귀병 진단받아서
12사 내 의무사단에서 핵고통 받다가 죽다살아난 사람이다

이번 사건에대해 많은 생각을 했다
옛날 생각도 나고.. 너무나 안타깝고 또 안타까웠다
내 개인적 의견으로는 여군이냐 아니냐 이런건 하나도 중요하지 않다
그냥 잘못된 사람과 잘못된 시스템이 있을뿐이지
이일로 남여가 싸울게 아니라
국방부와 시민들이 싸워야 한다고 생각한다
오히려 남여갈등으로 불타고 있는게 국방부에게는 도움이 될거라 생각한다
그 잘못한 사람과 시스템이 처벌받고 바뀌고 더좋은 군생활이 될수있도록 노력해야 한다고 생각한다
반드시 처벌받고 반드시 바뀌길 다시한번 바란다
바라고 또 바란다



12사단(을지) 갤러리

12사에서 죽을뻔한 경험


12사에서 죽을뻔한 경험에 대한 이야기는 극적인 상황과 생존의 이야기를 담고 있습니다. 이 사건은 사람들에게 큰 충격을 주며, 재난이나 위험에서 벗어난 경험을 공유하는 중요한 사례입니다.



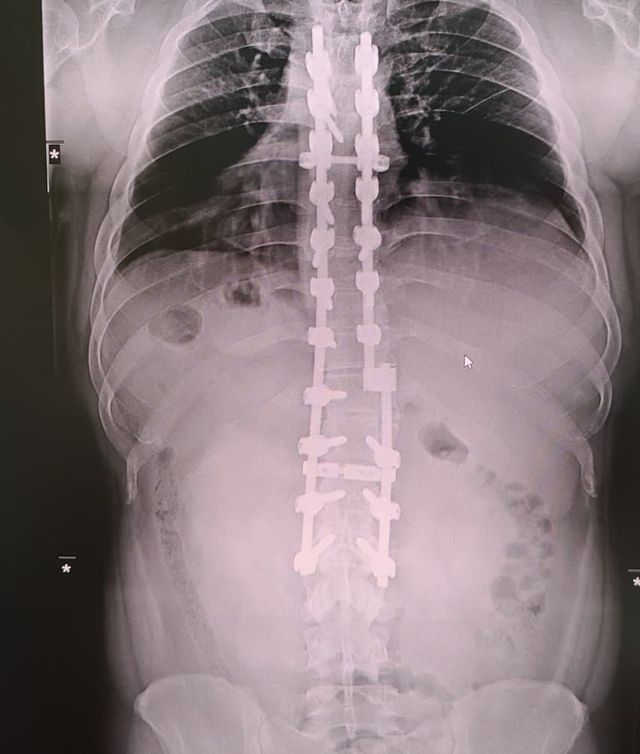
척추 심 21개


척추에 심 21개를 박는 것은 매우 심각한 의료적 조치입니다. 이는 대규모의 수술과 회복 과정을 필요로 하며, 환자의 삶에 큰 영향을 미칠 수 있습니다. 척추 수술이나 시술에 대한 정보와 경험을 나누는 것은 많은 사람들에게 유용한 자료가 됩니다.

Copyright ⓒ 시보드 무단 전재 및 재배포 금지

본 콘텐츠는 뉴스픽 파트너스에서 공유된 콘텐츠입니다.

다음 내용이 궁금하다면?
광고 보고 계속 읽기
원치 않을 경우 뒤로가기를 눌러주세요

실시간 키워드

  1. -
  2. -
  3. -
  4. -
  5. -
  6. -
  7. -
  8. -
  9. -
  10. -

0000.00.00 00:00 기준

이 시각 주요뉴스

알림 문구가 한줄로 들어가는 영역입니다

신고하기

작성 아이디가 들어갑니다

내용 내용이 최대 두 줄로 노출됩니다

신고 사유를 선택하세요

이 이야기를
공유하세요

이 콘텐츠를 공유하세요.

콘텐츠 공유하고 수익 받는 방법이 궁금하다면👋>
주소가 복사되었습니다.
유튜브로 이동하여 공유해 주세요.
유튜브 활용 방법 알아보기