디씨)나 12사에서 죽을뻔하고 척추에 심 21개 박은 사람이다!?

실시간 키워드

2022.08.01 00:00 기준

디씨)나 12사에서 죽을뻔하고 척추에 심 21개 박은 사람이다!?

유머톡톡 2024-05-30 20:19:45 신고

btf16d442fad29f99e952c8abcba6c7151.jpg
bt917aacec81f4eea79dbd518536ea9f05.jpg

 

 

 

자세한 내용은 위글을 읽어봐주길 바란다

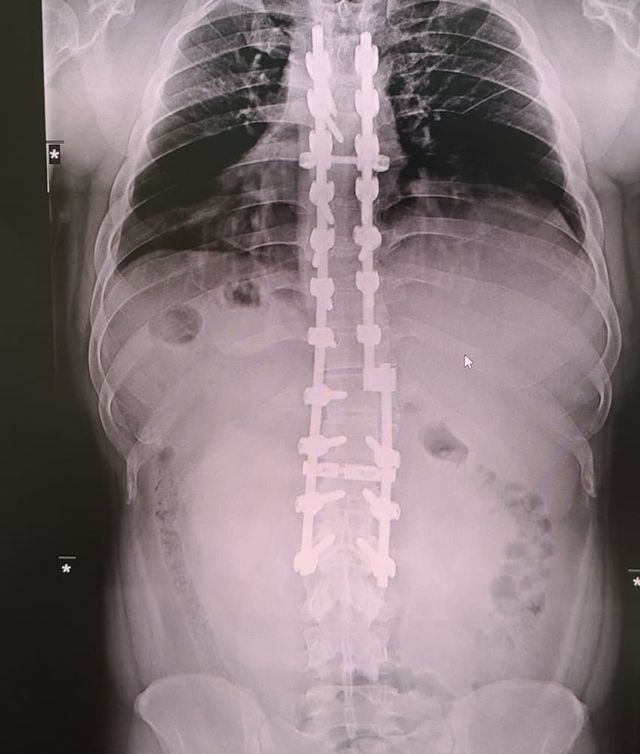
나도 12사때 훈련병시절 완전 군장하고 쓰러지고

척추 무너지고 희귀병 진단받아서

12사 내 의무사단에서 핵고통 받다가 죽다살아난 사람이다

 

이번 사건에대해 많은 생각을 했다

옛날 생각도 나고.. 너무나 안타깝고 또 안타까웠다

내 개인적 의견으로는 여군이냐 아니냐 이런건 하나도 중요하지 않다

그냥 잘못된 사람과 잘못된 시스템이 있을뿐이지

이일로 남여가 싸울게 아니라

국방부와 시민들이 싸워야 한다고 생각한다

오히려 남여갈등으로 불타고 있는게 국방부에게는 도움이 될거라 생각한다

그 잘못한 사람과 시스템이 처벌받고 바뀌고 더좋은 군생활이 될수있도록 노력해야 한다고 생각한다

반드시 처벌받고 반드시 바뀌길 다시한번 바란다

바라고 또 바란다

 

 

Copyright ⓒ 유머톡톡 무단 전재 및 재배포 금지

본 콘텐츠는 뉴스픽 파트너스에서 공유된 콘텐츠입니다.

다음 내용이 궁금하다면?
광고 보고 계속 읽기
원치 않을 경우 뒤로가기를 눌러주세요

실시간 키워드

  1. -
  2. -
  3. -
  4. -
  5. -
  6. -
  7. -
  8. -
  9. -
  10. -

0000.00.00 00:00 기준

이 시각 주요뉴스

알림 문구가 한줄로 들어가는 영역입니다

신고하기

작성 아이디가 들어갑니다

내용 내용이 최대 두 줄로 노출됩니다

신고 사유를 선택하세요

이 이야기를
공유하세요

이 콘텐츠를 공유하세요.

콘텐츠 공유하고 수익 받는 방법이 궁금하다면👋>
주소가 복사되었습니다.
유튜브로 이동하여 공유해 주세요.
유튜브 활용 방법 알아보기