홍진호, 결혼 2개월 만에 아내 임신 소식 전해… "콩콩이 탄생 기대"

실시간 키워드

2022.08.01 00:00 기준

홍진호, 결혼 2개월 만에 아내 임신 소식 전해… "콩콩이 탄생 기대"

인디뉴스 2024-05-27 22:00:00 신고

3줄요약
홍진호 인스타그램 갈무리
홍진호 인스타그램 갈무리

 

프로 포커 플레이어이자 방송인으로 활약 중인 홍진호가 결혼 2개월 만에 아내의 임신 소식을 전하며 기쁜 마음을 팬들과 공유했습니다.

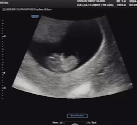
초음파 사진 공개

홍진호 인스타그램 갈무리
홍진호 인스타그램 갈무리

 

홍진호는 지난 27일 자신의 소셜 미디어를 통해 "너무 감사하게도 새로운 생명을 선물 받았습니다. 연말에 태어날 우리 콩콩이 축복 속에서 건강하게 잘 오기를!!!"이라는 글과 함께 초음파 사진을 게시했습니다.

공개된 사진 속에는 홍진호의 2세로 예정된 '콩콩이'의 초음파 이미지가 담겨 있어, 많은 이들의 축하와 관심을 불러일으켰습니다. 사진을 접한 동료 연예인들과 팬들은 "오빠!!! 너무 축하해", "아이고 친구야 너무 축하한다 ㅋㅋㅋ!!!!!", "와!!!" 등의 반응을 보이며 홍진호 부부를 축하했습니다.

홍진호의 별명 '콩'은 프로게이머 시절 임요환에게 밀려 자주 2위를 하면서 붙여진 것이며, 이에 착안하여 아기의 태명을 '콩콩이'로 지었습니다. 이러한 태명은 팬들과 누리꾼들에게 귀여움을 자아내며, 홍진호 부부의 2세 소식을 더욱 특별하게 만들었습니다.

홍진호의 결혼과 가정 계획

온라인커뮤니티
온라인커뮤니티

 

홍진호는 지난 3월 17일 서울 강남구의 한 예식장에서 결혼식을 올렸으며, 10살 연하의 일반인 신부와는 3년간의 교제 끝에 결혼에 골인했습니다.

결혼 당시 그는 "많은 분들의 축하와 축복 속에 무사히 결혼식을 잘 마치게 됐다. 너무 감사하다"며 "행복하게 그리고 바르게 잘 살겠다"고 소감을 전했습니다. 또한, 아이 계획에 대해 "자녀 계획은 1명인데, 주변의 유부남 선배들이 '혼자 있으면 외롭다'고 2명은 낳으라고 하더라"며 고민을 털어놓기도 했습니다.

Copyright ⓒ 인디뉴스 무단 전재 및 재배포 금지

본 콘텐츠는 뉴스픽 파트너스에서 공유된 콘텐츠입니다.

다음 내용이 궁금하다면?
광고 보고 계속 읽기
원치 않을 경우 뒤로가기를 눌러주세요

실시간 키워드

  1. -
  2. -
  3. -
  4. -
  5. -
  6. -
  7. -
  8. -
  9. -
  10. -

0000.00.00 00:00 기준

이 시각 주요뉴스

알림 문구가 한줄로 들어가는 영역입니다

신고하기

작성 아이디가 들어갑니다

내용 내용이 최대 두 줄로 노출됩니다

신고 사유를 선택하세요

이 이야기를
공유하세요

이 콘텐츠를 공유하세요.

콘텐츠 공유하고 수익 받는 방법이 궁금하다면👋>
주소가 복사되었습니다.
유튜브로 이동하여 공유해 주세요.
유튜브 활용 방법 알아보기