건강보험심사평가원의 발표에 따르면 2022년 고혈압 환자는 약 700만 명으로 최근 5년간 약 16% 증가했으며, 당뇨병 환자 수는 약 370만 명으로 2018년 대비 약 22% 증가한 것으로 나타났다. 특히 젊은 환자 수가 더 가파르게 증가하고 있는데, 20대 고혈압 환자는 2018년 3만947명에서 2022년 4만300명으로 약 30% 증가했으며, 20대 당뇨병 환자는 2018년 2만8,888명에서 2022년 4만2,657명으로 약 48% 증가했다. 고혈압 및 당뇨와 같은 대사질환은 건강에 치명적인 질환의 위험 인자로 다양한 합병증도 동반하는데, 특히 눈건강에 큰 영향을 주는 고혈압망막병증과 당뇨망막병증의 발병 인자이기도 하다.
망막은 우리 신체에서 시간당 혈류량이 많은 조직 중 하나로 고혈압을 오래 앓으면 망막에도 손상이 올 가능성이 있다. 우리 몸은 심장에서 말초기관으로 혈액을 보내 영양과 산소를 공급하는데 이때 고혈압으로 전신 혈압이 상승하면, 망막 속 모세혈관은 과도한 혈류가 눈으로 흘러 들어가는 것을 막기 위해 전체적으로 수축하게 된다. 이 과정에서 망막 혈관이 파괴되면서 혈관 내벽 손상, 출혈 등이 나타날 수 있다.
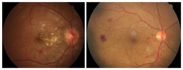
통상적으로 높은 혈압이 유지되는 기간이 길어질수록 고혈압망막병증의 발생 가능성이 커지는데, 높은 혈압이 오래 지속되면 망막 속 동맥 혈관 벽이 두꺼워지는 경화성 변화가 생긴다. 이에 따라 망막 동맥이 좁아지고 국소적 경련이 생기며, 망막출혈, 망막부종, 신경섬유층의 국소적 허혈로 생기는 하얀 반점인 면화반, 액체 및 세포성분이 나오는 삼출액, 그리고 시신경이 부어오르는 시신경유두부종 등이 발생할 수 있다.
고혈압망막병증은 고혈압을 인지하고 관리하는 노년층보다 젊은 환자에게 더 두드러지게 나타나기 쉽다. 초기에는 별다른 증상이 없어 발견하기 어렵고 특히 젊은 고혈압 환자들은 고혈압인 줄 모르는 상태에서 시력이 떨어져서 내원했다가 고혈압망막병증이 진단되는 경우가 많기 때문이다.
따라서 특별한 증상이 없더라도 고혈압으로 진단받은 시점부터 1년에 한 번씩 안과에 방문해 주기적으로 검진받는 것이 가장 중요하며, 혈압이 정상범위 내로 떨어지면 시력도 다시 좋아질 수 있어 식이조절, 운동 등 생활 습관을 꾸준히 관리해야 한다. 약물 치료를 통해 혈압을 낮추는 방법도 있다. 단, 만성 고혈압이라면 혈관의 동맥경화성 변형으로 인해 망막모세혈관이 꽈리 모양으로 변화하거나 망막혈관폐쇄 등의 합병증과 유리체출혈이 발생하기도 해 혈압 조절만으로는 시력 회복이 어려울 수 있다.
고혈압망막병증이 고혈압의 합병증으로 오는 질환이라면 당뇨망막병증은 당뇨병의 합병증 중 하나로 망막 혈관에 손상을 일으켜 실명까지 이어질 수 있는 3대 실명질환 중 하나이다. 당뇨병 병력이 15년 전후인 환자의 약 60~70%에서 나타나며 혈당이 높거나 당뇨병 유병 기간이 길어질수록 발병률이 증가하는데, 최근 젊은 당뇨병 환자가 증가하고 있어 주의가 필요하다.
당뇨병으로 인한 지속적인 고혈당은 눈 속 혈관에 영향을 주어 출혈을 일으키거나 혈액 속 성분이 혈관 밖으로 빠져나가게 하는데, 해당 성분이 시세포가 밀집된 황반에 쌓이면 황반부종이 생기거나 망막에 손상을 주어 시력저하를 일으킨다. 미세혈관류, 망막출혈, 노란 지질 침착물인 경성삼출물, 황반부종 등이 동반되면 비증식성 당뇨망막병증이라고 하며, 망막에 정상적인 혈액 공급이 장기간 이루어지지 않아 광범위한 허혈 상태가 오고 이에 대한 반응으로 신생혈관이 생기게 되면 증식성 당뇨망막병증이라고 일컫는다. 이때 생긴 신생혈관은 매우 약하기 때문에 신생혈관으로 인한 출혈은 유리체출혈, 망막앞출혈, 섬유화증식, 견인망막박리 등을 일으켜 실명에 이르게 할 수 있다.
당뇨망막병증 역시 특별한 자각증상 없이 서서히 시력이 떨어지기 때문에 모르고 지나가거나 방치하기 쉽지만, 한번 생기면 혈당치가 정상으로 유지되어도 계속 진행되기 때문에 예방 및 조기 발견이 매우 중요하다. 증상으로는 시력감소, 사물이 삐뚤어져 보이거나 왜곡돼 보이는 변시증, 부유물이 떠다니는 듯한 비문증, 눈을 움직일 때 번쩍이는 빛이 보이는 광시증 등이 있다. 증상을 느낄 정도가 되면 이미 병이 많이 진행했을 가능성이 있어 당뇨병이 있다면 6개월에서 1년에 한 번 정도는 안과에 내원하여 검진을 받아보는 것이 좋다.
당뇨망막병증의 치료를 위해 가장 중요한 것은 철저한 혈당조절이다. 안과적인 치료로는 질환의 진행 정도에 따라 레이저, 주사, 수술적 치료 등이 있다. 초기에 혈관내피세포성장인자 항체를 눈에 주사하여 황반부종을 치료하고, 비정상적인 신생혈관의 생성을 억제하거나 퇴행시키기 위해 혈관내피세포성장인자 항체 주사 및 레이저 치료인 범망막광응고술을 시행할 수 있다. 증식성 당뇨망막병증으로 인한 유리체 출혈의 양이 많거나 자연 흡수가 어려울 경우, 유리체절제술을 고려할 수도 있다.
김안과병원 망막병원 박새미 전문의는 “최근 젊은 층 사이에서 고혈압, 당뇨병과 같은 성인병 유병률이 증가하면서 갑작스러운 시력 저하로 인해 내원했다가 망막질환을 발견하는 환자들이 많아졌다”며, “평소 식이조절, 체중 관리 등을 게을리하지 말고 정기적인 건강검진을 통해 혈압, 혈당 등을 확인하여야 하며, 고혈압이나 당뇨병을 앓고 있다면 반드시 주기적인 안과검진을 통해 눈상태를 점검하는 것이 필요하다”고 말했다.
|
Copyright ⓒ 이데일리 무단 전재 및 재배포 금지
본 콘텐츠는 뉴스픽 파트너스에서 공유된 콘텐츠입니다.
