부드러운게 좋아서 덜 익힌 '이것' 먹은 남성, "기생충이 뇌에 알 낳았다"...충격 실화

실시간 키워드

2022.08.01 00:00 기준

부드러운게 좋아서 덜 익힌 '이것' 먹은 남성, "기생충이 뇌에 알 낳았다"...충격 실화

살구뉴스 2024-05-11 22:11:00 신고

3줄요약
온라인 커뮤니티 온라인 커뮤니티


지속적인 편두통에 시달린 한 남성의 뇌에서 살아 꿈틀거리는 기생충이 발견돼 충격을 주고 있습니다.

2024년 3월 8일 (현지시간) 미국 뉴욕 포스트는 플로리다주에 사는 52세 남성 A씨의 의학 사례를 전했습니다.

보도에 따르면 A씨는 지난 4개월 동안 지독한 두통에 시달렸는데, 진통제를 복용하고도 통증이 계속되자 결국 병원을 찾았습니다.

병원에서 A씨의 뇌 스캔 검사를 한 결과, 의료진은 충격적인 진단을 내렸습니다.

 

"뇌에 침투한 기생충에 의한 두통 증상"

미 사례 보고서 저널 미 사례 보고서 저널


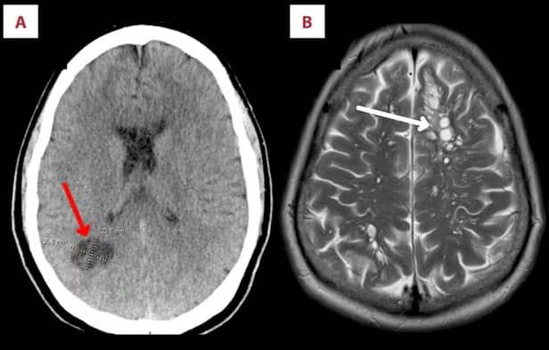
A씨의 뇌 양쪽에서 여러 개의 낭종(주위 조직과 뚜렷이 구별되는 막과 내용물을 지닌 주머니)이 발견됐고 낭종 주변으로는 뇌가 부어 있는 상태였습니다.

의료진은 이를 기생충 감염에 의한 신경낭미충증(Neurocysticercosis) 이라고 진단했는데, 바로 돼지 촌충이 뇌에 알을 낳고 알에서 나온 총충이 두개골 조직을 자극해 두통이 유발된 것입니다.

세계보건기구(WHO)와 미 질병통제예방센터(CDC) 등에 따르면 신경낭미충증은 덜 익은 돼지고기 또는 기생충이 있는 인간의 배설물과 닿은 계란을 섭취한 사람에게서 나타날 수 있습니다.

그리고 이렇게 인간 체내에 침투한 기생충은 A씨의 사례처럼 뇌에 침투할 수 있을뿐만 아니라 근육 조직, 피부, 안구 등에서도 자랄 수 있으며, 성인 뇌전증을 유발하고 심한 경우 사망에 이르게 할 수도 있습니다.

 

평소 덜 익은 베이컨 자주 섭취 

픽사베이 픽사베이


의료진은 A씨가 신경낭미충증에 감염된 원인이 평소 그의 식습관에 있을 것으로 진단했습니다. 

하지만 A씨는 근래에 해외 여행 기록이 없고 생식을 먹은 적도 없었습니다. 다만 평소 부드러운 베이컨을 좋아하던 그가 덜 익은 돼지고기를 자주 섭취했다는 사실을 알게 되었습니다.

이에 의료진은 고기에 남아있던 기생충이 혈류를 타고 장에서 뇌까지 이동한 것으로 보인다고 설명했습니다.

의료진은 A씨에게 뇌부종을 가라앉히고 기생충을 없애기 위해 약물을 투여했고, 다행히 A씨 뇌 속 낭종은 2주 만에 사라졌다고 전했습니다.

 

감염된 사람과 생활하거나 같이 식사해도 위험

온라인 커뮤니티 온라인 커뮤니티


미 국립보건원(NIH)에 따르면 미국에서 발생하는 신경낭미충증 사례는 매년 1320~5050건에 달합니다. 

신경낭미충증은 직접 기생충에 감염되지 않았더라도 기생충에 감염된 사람과 함께 생활하거나, 감염자와 함께 음식을 먹는 경우에도 걸릴 수 있습니다.

A씨의 사례는 미국 SCI급 저널인 ‘아메리칸 저널 오브 케이스 리포트’(American Journal of Case Reports) 최신호에 실려 소개됐습니다.

누리꾼들은 "한국 돼지고기는 기생충으로부터 안전하다고 하던데", "하던대로 바짝 구워먹어야겠다", "뇌에 기생충..너무 무섭다", "익혀 먹는게 제일 안전하죠" 등의 반응을 보였습니다. 
 

Copyright ⓒ 살구뉴스 무단 전재 및 재배포 금지

본 콘텐츠는 뉴스픽 파트너스에서 공유된 콘텐츠입니다.

다음 내용이 궁금하다면?
광고 보고 계속 읽기
원치 않을 경우 뒤로가기를 눌러주세요

실시간 키워드

  1. -
  2. -
  3. -
  4. -
  5. -
  6. -
  7. -
  8. -
  9. -
  10. -

0000.00.00 00:00 기준

이 시각 주요뉴스

알림 문구가 한줄로 들어가는 영역입니다

신고하기

작성 아이디가 들어갑니다

내용 내용이 최대 두 줄로 노출됩니다

신고 사유를 선택하세요

이 이야기를
공유하세요

이 콘텐츠를 공유하세요.

콘텐츠 공유하고 수익 받는 방법이 궁금하다면👋>
주소가 복사되었습니다.
유튜브로 이동하여 공유해 주세요.
유튜브 활용 방법 알아보기