-
의료 인공지능(AI) 기업 뷰노(대표 이예하)가 아랍에미리트(UAE) 국군 병원인 자이드 군 병원(Zayed Military Hospital)에 인공지능 기반 엑스레이(X-ray) 판독 보조 솔루션을 공급했다고 22일 밝혔다.
-
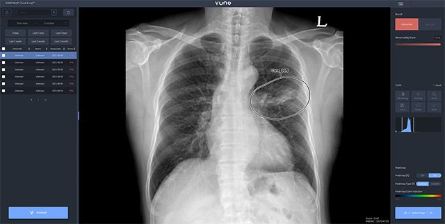
자이드 군 병원에 도입된 솔루션은 이동형 엑스레이 장비에 뷰노의 AI 기반 흉부 엑스레이 판독 보조 솔루션 뷰노메드 체스트 엑스레이™(VUNO Med®-Chest X-ray™)를 탑재한 패키지 제품이다.
과학기술정보통신부 및 정보통신산업진흥원(NIPA)이 추진하는 ‘군 의료영상 데이터 기반 인공지능 판독 시스템 고도화 및 실증 사업(군 의료 사업)’의 일환으로 개발된 해당 제품은 격오지를 중심으로 현장 의료 서비스가 가능하도록 설계됐다.
별도의 차폐 시설 없이 다양한 상황에서도 쉽게 환자의 흉부 엑스레이 촬영을 할 수 있는 이동형 장비에 인공지능을 연동해 수 초 이내에 판독 결과를 확인할 수 있어 의료 인프라가 낙후한 지역에서도 진단 편차를 줄이고, 판독 효율성과 정확도를 크게 높일 수 있다.
이예하 뷰노 대표는 “정부 부처의 지원을 통해 중동 지역 내 뷰노 제품 도입 성과를 꾸준히 늘리며 현지 군 보건의료 서비스 품질 향상에 기여하고 있다”며 “뷰노메드 체스트 엑스레이™는 올해 하반기 미국 FDA 인허가 획득 등 해외 사업 강화를 위한 주요 모멘텀이 계속 예정된 만큼 꾸준히 성과를 보일 수 있도록 노력하겠다”고 말했다.
한편, 뷰노는 정부 부처와 협력해 지난해 11월 우즈베키스탄 국군 중앙병원, 국군 의무학교 등 주요 군 병원 5곳에 뷰노메드 체스트 엑스레이™를 공급하는 등 중동 지역 내 도입 성과를 늘리고 있으며, 글로벌 판매망을 구축한 유수의 의료 장비 기업과 B2B 형태의 계약을 연이어 체결하는 등 해외 사업을 지속해서 강화하고 있다.
- 김정아 기자 jungya@chosun.com
최신뉴스
본 콘텐츠는 뉴스픽 파트너스에서 공유된 콘텐츠입니다.
